• Tel: 858.663.9055
  • SeparatorEmail: info@nsjbio.com
  • Tel: 858.663.9055
  • Email: info@nsjbio.com
Home >> Antibodies >> TFAP2C Antibody / AP2 gamma

TFAP2C Antibody / AP2 gamma (R34852)

  Catalog No Formulation Size Price (USD)  
Image R34852-100UG 0.5 mg/ml in 1X TBS, pH7.3, with 0.5% BSA (US sourced) and 0.02% sodium azide 100 ug 449
Bulk quote request
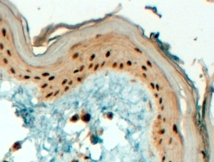
IHC testing of FFPE human skin with TFAP2C antibody at 4ug/ml. HIER: steamed with pH9 Tris/EDTA buffer, HRP-staining.
Availability 1-3 business days
Species Reactivity Human
Predicted Reactivity Cow, Dog, Mouse, Pig, Rat
Format Antigen affinity purified
Clonality Polyclonal (goat origin)
Isotype Goat Ig
Purity Antigen affinity
Gene ID 7022
Applications Immunohistochemistry (FFPE) : 2-3ug/ml
ELISA (peptide) LOD : 1:128000
Limitations This TFAP2C antibody is available for research use only.
Review this product on BioCompare and get a $20 Amazon gift card

Related Products

  • Applications : WB, IHC-P, IF, Direct ELISA
    Reactivity : Human

Description

Additional name(s) for this target protein: Transcription factor AP-2 gamma (activating enhancer-binding protein 2 gamma), AP-2 gamma, TFAP2G

Application Notes

Optimal dilution of the TFAP2C antibody should be determined by the researcher.

Immunogen

Amino acids NKTLEKMEKHRK were used as the immunogen for this TFAP2C antibody.

Storage

Aliquot and store the TFAP2C antibody at -20oC.

Cross
Bulk Quote Request Form
Name*:
Organization*:
Email*:
Phone Number*:
Catalog No.*:
Comments and Specifics(amount, formulation, etc.)*:
Validation code: Captchapackage Image


Can't read the image? click here to refresh.
    *required field

Your bulk quote request has been submitted successfully!

Please contact us if you have any questions.