• Tel: 858.663.9055
  • SeparatorEmail: info@nsjbio.com
  • Tel: 858.663.9055
  • Email: info@nsjbio.com
Home >> Antibodies >> TET1 Antibody

TET1 Antibody (RQ5678)

  Catalog No Formulation Size Price (USD)  
Image RQ5678 0.5mg/ml if reconstituted with 0.2ml sterile DI water 100 ug 439
Bulk quote request
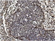
IHC staining of FFPE human breast cancer with TET1 antibody. HIER: boil tissue sections in pH8 EDTA for 20 min and allow to cool before testing.
IHC staining of FFPE human lung cancer with TET1 antibody. HIER: boil tissue sections in pH8 EDTA for 20 min and allow to cool before testing.
Immunofluorescent staining of FFPE human U-2 OS cells with TET1 antibody (green) and DAPI nuclear stain (blue). HIER: steam section in pH6 citrate buffer for 20 min.
Western blot testing of human 1) HEK293, 2) K562, 3) SW620, 4) HepG2, 5) monkey COS-7 and 6) human Raji lysate with TET1 antibody. Predicted molecular weight ~235 kDa.
Flow cytometry testing of human HepG2 cells with TET1 antibody at 1ug/million cells (blocked with goat sera); Red=cells alone, Green=isotype control, Blue= TET1 antibody.
Availability 1-3 business days
Species Reactivity Human, Monkey
Format Antigen affinity purified
Clonality Polyclonal
Isotype Rabbit IgG
Purity Affinity purified
Buffer Lyophilized from 1X PBS with 2% Trehalose and 0.025% sodium azide
UniProt Q8NFU7
Applications Western Blot : 0.5-1ug/ml
Immunohistochemistry : 1-2ug/ml
Immunofluorescence : 2-4ug/ml
Flow Cytometry : 1-3ug/million cells
Direct ELISA : 0.1-0.5ug/ml
Limitations This TET1 antibody is available for research use only.
Review this product on BioCompare and get a $20 Amazon gift card

Related Products

  • Applications : WB, ELISA
    Reactivity : Mouse

Description

Ten-eleven translocation methylcytosine dioxygenase 1 (TET1) is a member of the TET family of enzymes, in humans it is encoded by the TET1 gene. DNA methylation is an epigenetic mechanism that is important for controlling gene expression. The protein encoded by this gene is a demethylase that belongs to the TET (ten-eleven translocation) family. Members of the TET protein family play a role in the DNA methylation process and gene activation.

Application Notes

Optimal dilution of the TET1 antibody should be determined by the researcher.

Immunogen

Recombinant human protein (amino acids Q194-E417) was used as the immunogen for the TET1 antibody.

Storage

After reconstitution, the TET1 antibody can be stored for up to one month at 4oC. For long-term, aliquot and store at -20oC. Avoid repeated freezing and thawing.

Cross
Bulk Quote Request Form
Name*:
Organization*:
Email*:
Phone Number*:
Catalog No.*:
Comments and Specifics(amount, formulation, etc.)*:
Validation code: Captchapackage Image


Can't read the image? click here to refresh.
    *required field

Your bulk quote request has been submitted successfully!

Please contact us if you have any questions.