• Tel: 858.663.9055
  • SeparatorEmail: info@nsjbio.com
  • Tel: 858.663.9055
  • Email: info@nsjbio.com
Home >> Antibodies >> Tenascin Antibody / TNC

Tenascin Antibody / TNC [clone TNC/4805] (V5303)

  Catalog No Formulation Size Price (USD)  
Image V5303-100UG 0.2 mg/ml in 1X PBS with 0.1 mg/ml BSA (US sourced), 0.05% sodium azide 100 ug 539
Image
V5303-20UG 0.2 mg/ml in 1X PBS with 0.1 mg/ml BSA (US sourced), 0.05% sodium azide 20 ug 249
Image
V5303SAF-100UG 1 mg/ml in 1X PBS; BSA free, sodium azide free 100 ug 539
Bulk quote request
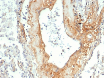
IHC staining of FFPE human lung tissue with Tenascin C antibody (clone TNC/4805). HIER: boil tissue sections in pH 9 10mM Tris with 1mM EDTA for 20 min and allow to cool before testing.
Availability 1-3 business days
Species Reactivity Human
Format Purified
Clonality Monoclonal (mouse origin)
Isotype Mouse IgG2c, kappa
Clone Name TNC/4805
Purity Protein A/G affinity
UniProt P24821
Localization Connective tissue matrix
Applications Immunohistochemistry (FFPE) : 2-4ug/ml for 30 minutes at RT
Limitations This Tenascin C antibody is available for research use only.
Review this product on BioCompare and get a $20 Amazon gift card

Related Products

Description

In Western blotting, it reacts with two bands of ~MW of 210kDa and 300kDa, identified as two isoforms of as Tenascin or Tenascin C. Tenascin C is a multifunctional, disulfide-linked hexameric extracellular matrix glycoprotein expressed in association with mesenchymal epithelial interactions during development and in the neo-vasculature and stroma of undifferentiated tumors. In adults, it is restricted to certain epithelial-stromal interfaces and increases markedly in hyper-proliferative diseases and in stroma of many neoplasms, including gliomas, breast, squamous and lung carcinomas.

Application Notes

Optimal dilution of the Tenascin C antibody should be determined by the researcher.

Immunogen

Recombinant human full-length protein was used as the immunogen for the Tenascin C antibody.

Storage

Aliquot the Tenascin C antibody and store frozen at -20oC or colder. Avoid repeated freeze-thaw cycles.

Cross
Bulk Quote Request Form
Name*:
Organization*:
Email*:
Phone Number*:
Catalog No.*:
Comments and Specifics(amount, formulation, etc.)*:
Validation code: Captchapackage Image


Can't read the image? click here to refresh.
    *required field

Your bulk quote request has been submitted successfully!

Please contact us if you have any questions.