• Tel: 858.663.9055
  • SeparatorEmail: info@nsjbio.com
  • Tel: 858.663.9055
  • Email: info@nsjbio.com
Home >> Antibodies >> TECTA Antibody / Alpha Tectorin

TECTA Antibody / Alpha Tectorin (R32651)

  Catalog No Formulation Size Price (USD)  
Image R32651 0.5mg/ml if reconstituted with 0.2ml sterile DI water 100 ug 439
Bulk quote request
Western blot testing of 1) rat testis, 2) mouse Hepa1-6 and 3) human HepG2 lysate with TECTA antibody at 0.5ug/ml. Predicted molecular weight: ~240 kDa.
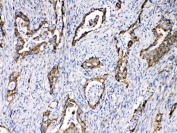
IHC testing of FFPE human intestinal cancer tissue with TECTA antibody at 1ug/ml. Required HIER: steam section in pH6 citrate buffer for 20 min and allow to cool prior to testing.
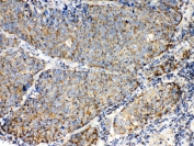
IHC testing of FFPE human lung cancer tissue with TECTA antibody at 1ug/ml. Required HIER: steam section in pH6 citrate buffer for 20 min and allow to cool prior to testing.
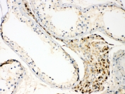
IHC testing of FFPE human testis tissue with TECTA antibody at 1ug/ml. Required HIER: steam section in pH6 citrate buffer for 20 min and allow to cool prior to testing.
Availability 1-3 business days
Species Reactivity Human, Mouse, Rat
Format Antigen affinity purified
Clonality Polyclonal (rabbit origin)
Isotype Rabbit IgG
Purity Antigen affinity
Buffer Lyophilized from 1X PBS with 2.5% BSA, 0.025% sodium azide
UniProt O75443
Localization Membrane, cytoplasm
Applications Western Blot : 0.5-1ug/ml
Immunohistochemistry (FFPE) : 1-2ug/ml
Limitations This TECTA antibody is available for research use only.
Review this product on BioCompare and get a $20 Amazon gift card

Description

Alpha Tectorin is a protein that in humans is encoded by the TECTA gene. The tectorial membrane is an extracellular matrix of the inner ear that contacts the stereocilia bundles of specialized sensory hair cells. Sound induces movement of these hair cells relative to the tectorial membrane, deflects the stereocilia, and leads to fluctuations in hair-cell membrane potential, transducing sound into electrical signals. Alpha-tectorin is one of the major noncollagenous components of the tectorial membrane. Mutations in the TECTA gene have been shown to be responsible for autosomal dominant nonsyndromic hearing impairment and a recessive form of sensorineural pre-lingual non-syndromic deafness.

Application Notes

Optimal dilution of the TECTA antibody should be determined by the researcher.

Immunogen

Amino acids 93-134 (RAFVAPFWADVHNGIRGEIYYRETMEPAILKRATKDIRKYFK) from human Alpha Tectorin were used as the immunogen for the TECTA antibody.

Storage

After reconstitution, the TECTA antibody can be stored for up to one month at 4oC. For long-term, aliquot and store at -20oC. Avoid repeated freezing and thawing.

Cross
Bulk Quote Request Form
Name*:
Organization*:
Email*:
Phone Number*:
Catalog No.*:
Comments and Specifics(amount, formulation, etc.)*:
Validation code: Captchapackage Image


Can't read the image? click here to refresh.
    *required field

Your bulk quote request has been submitted successfully!

Please contact us if you have any questions.