• Tel: 858.663.9055
  • SeparatorEmail: info@nsjbio.com
  • Tel: 858.663.9055
  • Email: info@nsjbio.com
Home >> Antibodies >> Tec Antibody

Tec Antibody (R31107)

  Catalog No Formulation Size Price (USD)  
Image R31107 0.5mg/ml if reconstituted with 0.2ml sterile DI water 100 ug 439
Bulk quote request
Western blot testing of 1) human HEL and 2) rat kidney tissue lysate with Tec antibody. Predicted molecular weight ~73 kDa.
IHC-P: Tec antibody testing of human intestinal cancer tissue
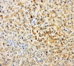
IHC-P: Tec antibody testing of rat liver tissue
Availability 1-3 business days
Species Reactivity Human, Rat
Format Antigen affinity purified
Clonality Polyclonal (rabbit origin)
Isotype Rabbit IgG
Purity Antigen affinity
Buffer Lyophilized from 1X PBS with 2.5% BSA and 0.025% sodium azide/thimerosal
UniProt P42680
Applications Western Blot : 0.5-1ug/ml
IHC (FFPE) : 0.5-1ug/ml
Limitations This Tec antibody is available for research use only.
Review this product on BioCompare and get a $20 Amazon gift card

Related Products

  • Applications : WB
    Reactivity : Human, Mouse, Rat
  • Applications : IF, WB, IHC-P
    Reactivity : Human, Mouse

Description

TEC Protein Tyrosine Kinase, is an enzyme that in humans is encoded by the TEC gene. The protein encoded by this gene belongs to the Tec family of non-receptor protein-tyrosine kinases containing a pleckstrin homology domain. By fluorescence in situ hybridization, Sato et al.(1994) mapped the gene to 4p12, the same location reported for TXK. Mouse Tec is a non-receptor type protein-tyrosine kinase that is highly expressed in many hematopoietic cell lines. Hantschel et al.(2007) identified TEC kinase and BTK kinase as major binders of the tyrosine kinase inhibitor dasatinib, which is used for treatment of BCR/ABL-positive CML.

Application Notes

The stated application concentrations are suggested starting amounts. Titration of the Tec antibody may be required due to differences in protocols and secondary/substrate sensitivity.

Immunogen

Amino acids 612-631 (FEDLLRTIDELVECEETFGR-human) were used as the immunogen for this Tec antibody (100% rat homology).

Storage

After reconstitution, the Tec antibody can be stored for up to one month at 4oC. For long-term, aliquot and store at -20oC. Avoid repeated freezing and thawing.

Cross
Bulk Quote Request Form
Name*:
Organization*:
Email*:
Phone Number*:
Catalog No.*:
Comments and Specifics(amount, formulation, etc.)*:
Validation code: Captchapackage Image


Can't read the image? click here to refresh.
    *required field

Your bulk quote request has been submitted successfully!

Please contact us if you have any questions.