• Tel: 858.663.9055
  • SeparatorEmail: info@nsjbio.com
  • Tel: 858.663.9055
  • Email: info@nsjbio.com
Home >> Antibodies >> TdT Antibody / Terminal deoxynucleotidyl transferase

TdT Antibody / Terminal deoxynucleotidyl transferase [clone RM379] (R20398)

  Catalog No Formulation Size Price (USD)  
Image R20398-0.1ML Antibody in PBS with 50% glycerol, 1% BSA and 0.09% sodium azide 100 ul 429
Microvalidated Recrabbitmono
Bulk quote request
Western blot testing of human Jurkat cell lysate with recombinant TdT antibody at 1:2000 dilution. Predicted molecular weight: ~56 kDa.
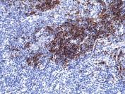
IHC staining of FFPE human thymus tissue with recombinant TdT antibody at 1:200.
Availability 1-3 business days
Species Reactivity Human
Format Purified
Clonality Recombinant Rabbit Monoclonal
Isotype Rabbit IgG
Clone Name RM379
Purity Protein A purified from animal origin-free supernatant
UniProt P04053
Localization Nuclear
Applications Immunohistochemistry (FFPE) : 1:100-1:200
Western Blot : 1:1000-1:2000
Limitations This recombinant TdT antibody is available for research use only.
Review this product on BioCompare and get a $20 Amazon gift card

Related Products

Description

This antibody reacts to human DNA nucleotidylexotransferase / Terminal deoxynucleotidyl transferase / TdT.

Application Notes

The stated application concentrations are suggested starting points. Titration of the recombinant TdT antibody may be required due to differences in protocols and secondary/substrate sensitivity.

Immunogen

A peptide corresponding to human Terminal deoxynucleotidyl transferase (TdT) was used as the immunogen for the recombinant TdT antibody.

Storage

Store the recombinant TdT antibody at -20oC.

Cross
Bulk Quote Request Form
Name*:
Organization*:
Email*:
Phone Number*:
Catalog No.*:
Comments and Specifics(amount, formulation, etc.)*:
Validation code: Captchapackage Image


Can't read the image? click here to refresh.
    *required field

Your bulk quote request has been submitted successfully!

Please contact us if you have any questions.