• Tel: 858.663.9055
  • SeparatorEmail: info@nsjbio.com
  • Tel: 858.663.9055
  • Email: info@nsjbio.com
Home >> Antibodies >> TdT Antibody / DNA nucleotidylexotransferase

TdT Antibody / DNA nucleotidylexotransferase [clone TDT/1393] (V8399)

  Catalog No Formulation Size Price (USD)  
Image V8399-100UG 0.2 mg/ml in 1X PBS with 0.1 mg/ml BSA (US sourced) and 0.05% sodium azide 100 ug 539
Image
V8399-20UG 0.2 mg/ml in 1X PBS with 0.1 mg/ml BSA (US sourced) and 0.05% sodium azide 20 ug 249
Image
V8399SAF-100UG 1 mg/ml in 1X PBS; BSA free, sodium azide free 100 ug 539
Microvalidated
Bulk quote request
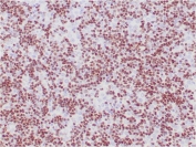
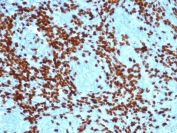
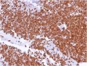
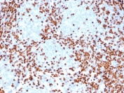
IHC staining of FFPE human thymus with TdT antibody (clone TDT/1393). HIER: boil tissue sections in pH 9 10mM Tris with 1mM EDTA for 20 min and allow to cool before testing.
IHC staining of FFPE human thymus with TdT antibody (clone TDT/1393). HIER: boil tissue sections in pH 9 10mM Tris with 1mM EDTA for 20 min and allow to cool before testing.
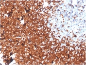
Analysis of HuProt(TM) microarray containing more than 19,000 full-length human proteins using TdT antibody (clone TDT/1393). These results demonstrate the foremost specificity of the TDT/1393 mAb. Z- and S- score: The Z-score represents the strength of a signal that an antibody (in combination with a fluorescently-tagged anti-IgG secondary Ab) produces when binding to a particular protein on the HuProt(TM) array. Z-scores are described in units of standard deviations (SD's) above the mean value of all signals generated on that array. If the targets on the HuProt(TM) are arranged in descending order of the Z-score, the S-score is the difference (also in units of SD's) between the Z-scores. The S-score therefore represents the relative target specificity of an Ab to its intended target.
IHC staining of FFPE human thymus with TdT antibody (clone TDT/1393). HIER: boil tissue sections in pH 9 10mM Tris with 1mM EDTA for 20 min and allow to cool before testing.
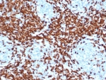
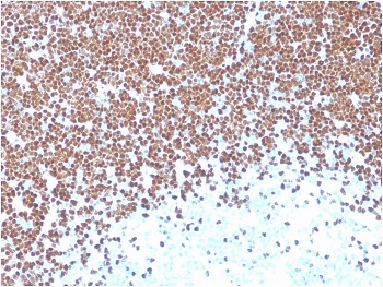
IHC staining of FFPE human thymoma with TdT antibody (clone TDT/1393). HIER: boil tissue sections in pH 9 10mM Tris with 1mM EDTA for 20 min and allow to cool before testing.
Availability 1-3 business days
Species Reactivity Human
Format Purified
Clonality Monoclonal (mouse origin)
Isotype Mouse IgG1, kappa
Clone Name TDT/1393
Purity Protein G affinity chromatography
UniProt P04053
Localization Nucleus
Applications ELISA : 2-4ug/ml for coating; order Ab without BSA
Immunohistochemistry (FFPE) : 1-2ug/ml for 30 minutes at RT
Limitations This TdT antibody is available for research use only.
Review this product on BioCompare and get a $20 Amazon gift card

Related Products

Description

Terminal deoxynucleotidyltransferase (TdT) is a DNA polymerase which catalyzes the addition of deoxyribonucleotides onto the 3 termini of DNA. The human TdT gene maps to chromosome 10q24.1 and encodes a 510 amino acid protein. Human TdT is synthesized as a single chain peptide that elicits a minor preference for incorporation of deoxyribonucleotides over ribonucleotides forming DNA strands. It is present in immature thymocytes, some bone marrow cells, transformed pre-B and pre-T cell lines, and leukemia cells.

Application Notes

Optimal dilution of the TdT antibody should be determined by the researcher.

Immunogen

A portion of amino acids 52-192 from the human protein was used as the immunogen for the TdT antibody.

Storage

Store the TdT antibody at 2-8oC (with azide) or aliquot and store at -20oC or colder (without azide).

Cross
Bulk Quote Request Form
Name*:
Organization*:
Email*:
Phone Number*:
Catalog No.*:
Comments and Specifics(amount, formulation, etc.)*:
Validation code: Captchapackage Image


Can't read the image? click here to refresh.
    *required field

Your bulk quote request has been submitted successfully!

Please contact us if you have any questions.