• Tel: 858.663.9055
  • SeparatorEmail: info@nsjbio.com
  • Tel: 858.663.9055
  • Email: info@nsjbio.com
Home >> Antibodies >> TdT Antibody / DNA nucleotidylexotransferase

TdT Antibody / DNA nucleotidylexotransferase [clone DNTT/1453] (V8536)

  Catalog No Formulation Size Price (USD)  
Image V8536-100UG 0.2 mg/ml in 1X PBS with 0.1 mg/ml BSA (US sourced) and 0.05% sodium azide 100 ug 539
Image
V8536-20UG 0.2 mg/ml in 1X PBS with 0.1 mg/ml BSA (US sourced) and 0.05% sodium azide 20 ug 249
Image
V8536SAF-100UG 1 mg/ml in 1X PBS; BSA free, sodium azide free 100 ug 539
Bulk quote request
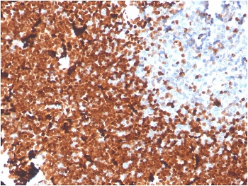
IHC staining of FFPE human thymus with TdT antibody. HIER: boil tissue sections in pH 9 10mM Tris with 1mM EDTA for 20 min and allow to cool before testing.
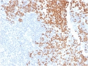
IHC staining of FFPE human thymus with TdT antibody. HIER: boil tissue sections in pH 9 10mM Tris with 1mM EDTA for 20 min and allow to cool before testing.
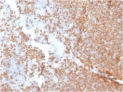
IHC staining of FFPE human thymus with TdT antibody. HIER: boil tissue sections in pH 9 10mM Tris with 1mM EDTA for 20 min and allow to cool before testing.
Availability 1-3 business days
Species Reactivity Human
Format Purified
Clonality Monoclonal (mouse origin)
Isotype Mouse IgG1, kappa
Clone Name DNTT/1453
Purity Protein G affinity chromatography
UniProt P04053
Localization Nucleus
Applications ELISA : 2-4ug/ml for coating; order Ab without BSA)
Immunohistochemistry (FFPE) : 1-2ug/ml for 30 minutes at RT
Limitations This TdT antibody is available for research use only.
Review this product on BioCompare and get a $20 Amazon gift card

Related Products

Description

Terminal deoxynucleotidyltransferase (TdT) is a DNA polymerase which catalyzes the addition of deoxyribonucleotides onto the 3 termini of DNA. The human TdT gene maps to chromosome 10q24.1 and encodes a 510 amino acid protein. Human TdT is synthesized as a single chain peptide that elicits a minor preference for incorporation of deoxyribonucleotides over ribonucleotides forming DNA strands. TdT is present in immature thymocytes, some bone marrow cells, transformed pre-B and pre-T cell lines, and leukemia cells.

Application Notes

Optimal dilution of the TdT antibody should be determined by the researcher.

Immunogen

A portion of amino acids 52-192 from the human protein was used as the immunogen for the TdT antibody.

Storage

Store the TdT antibody at 2-8oC (with azide) or aliquot and store at -20oC or colder (without azide).

Cross
Bulk Quote Request Form
Name*:
Organization*:
Email*:
Phone Number*:
Catalog No.*:
Comments and Specifics(amount, formulation, etc.)*:
Validation code: Captchapackage Image


Can't read the image? click here to refresh.
    *required field

Your bulk quote request has been submitted successfully!

Please contact us if you have any questions.