• Tel: 858.663.9055
  • SeparatorEmail: info@nsjbio.com
  • Tel: 858.663.9055
  • Email: info@nsjbio.com
Home >> Antibodies >> TDRD3 Antibody / Tudor domain-containing protein 3

TDRD3 Antibody / Tudor domain-containing protein 3 (RQ5455)

  Catalog No Formulation Size Price (USD)  
Image RQ5455 0.5mg/ml if reconstituted with 0.2ml sterile DI water 100 ug 439
Bulk quote request
Immunofluorescent staining of FFPE human intestinal cancer with TDRD3 antibody (red) at 1ug/ml and DAPI nuclear stain (blue). HIER: steam section in pH6 citrate buffer for 20 min.
IHC staining of FFPE human colon cancer with TDRD3 antibody at 1ug/ml. HIER: boil tissue sections in pH6, 10mM citrate buffer, for 10-20 min and allow to cool before testing.
IHC staining of FFPE mouse small intestine with TDRD3 antibody at 1ug/ml. HIER: boil tissue sections in pH6, 10mM citrate buffer, for 10-20 min and allow to cool before testing.
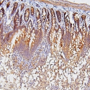
IHC staining of FFPE rat small intestine with TDRD3 antibody at 1ug/ml. HIER: boil tissue sections in pH6, 10mM citrate buffer, for 10-20 min and allow to cool before testing.
Western blot testing of human 1) placenta, 2) HL-60, 3) HeLa, 4) PC-3, 5) HEK293, 6) A549 and 7) A431 lysate with TDRD3 antibody at 0.5ug/ml. Expected molecular weight: 73-83 kDa.
Western blot testing of 1) rat brain, 2) rat liver and mouse 3) brain, 4) lung, 5) liver and 6) NIH3T3 lysate with TDRD3 antibody at 0.5ug/ml. Expected molecular weight: 73-83 kDa.
Availability 1-3 business days
Species Reactivity Human, Mouse, Rat
Format Antigen affinity purified
Clonality Polyclonal (rabbit origin)
Isotype Rabbit IgG
Purity Affinity purified
Buffer Lyophilized from 1X PBS with 2% Trehalose and 0.025% sodium azide
UniProt Q9H7E2
Localization Cytoplasmic, nuclear
Applications Western Blot : 0.5-1ug/ml
Immunohistochemistry (FFPE) : 1-2ug/ml
Immunofluorescence : 1-2ug/ml
Limitations This TDRD3 antibody is available for research use only.
Review this product on BioCompare and get a $20 Amazon gift card

Related Products

Description

Tudor domain-containing protein 3 is a protein that in humans is encoded by the TDRD3 gene. This gene is mapped to 13q21.2. It contains a Tudor domain and UBA protein domain and has three distinct protein isoforms. TDRD3 is a multifunctional protein that acts as a transcriptional coactivator in the nucleus and as a scaffolding protein in cytoplasmic stress granules.

Application Notes

Optimal dilution of the TDRD3 antibody should be determined by the researcher.

Immunogen

Amino acids KPTNDNDEFEKQRTAAIAEVAKSKETK from the human protein were used as the immunogen for the TDRD3 antibody.

Storage

Store the TDRD3 antibody at -20oC.

Cross
Bulk Quote Request Form
Name*:
Organization*:
Email*:
Phone Number*:
Catalog No.*:
Comments and Specifics(amount, formulation, etc.)*:
Validation code: Captchapackage Image


Can't read the image? click here to refresh.
    *required field

Your bulk quote request has been submitted successfully!

Please contact us if you have any questions.