• Tel: 858.663.9055
  • SeparatorEmail: info@nsjbio.com
  • Tel: 858.663.9055
  • Email: info@nsjbio.com
Home >> Antibodies >> TCPTP Antibody / PTPN2

TCPTP Antibody / PTPN2 (RQ6673)

  Catalog No Formulation Size Price (USD)  
Image RQ6673 0.5mg/ml if reconstituted with 0.2ml sterile DI water 100 ug 439
Bulk quote request
Flow cytometry testing of human PC-3 cells with TCPTP antibody at 1ug/million cells (blocked with goat sera); Red=cells alone, Green=isotype control, Blue= TCPTP antibody.
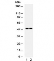
Western blot testing of human 1) HeLa and 2) K562 cell lysate with TCPTP antibody. Predicted molecular weight ~48 kDa.
Availability 1-3 business days
Species Reactivity Human
Format Antigen affinity purified
Clonality Polyclonal (rabbit origin)
Isotype Rabbit IgG
Purity Antigen affinity purified
Buffer Lyophilized from 1X PBS with 2% Trehalose
UniProt P17706
Applications Western Blot : 1-2ug/ml
Flow Cytometry : 1-3ug/million cells
Direct ELISA : 0.1-0.5ug/ml
Limitations This TCPTP antibody is available for research use only.
Review this product on BioCompare and get a $20 Amazon gift card

Related Products

Description

TCPTP, also called as PTPN2, is a member of the protein tyrosine phosphatase (PTP) family. Members of the PTP family share a highly conserved catalytic motif, which is essential for the catalytic activity. PTPs are known to be signaling molecules that regulate a variety of cellular processes including cell growth, differentiation, mitotic cycle, and oncogenic transformation. Epidermal growth factor receptor and the adaptor protein Shc were reported to be substrates of this PTP, which suggested the roles in growth factor mediated cell signaling. Multiple alternatively spliced transcript variants encoding different isoforms have been found. Two highly related but distinctly processed pseudogenes that localize to chromosomes 1 and 13, respectively, have been reported.

Application Notes

Optimal dilution of the TCPTP antibody should be determined by the researcher.

Immunogen

Recombinant human protein (amino acids M1-R255) was used as the immunogen for the TCPTP antibody.

Storage

After reconstitution, the TCPTP antibody can be stored for up to one month at 4oC. For long-term, aliquot and store at -20oC. Avoid repeated freezing and thawing.

Cross
Bulk Quote Request Form
Name*:
Organization*:
Email*:
Phone Number*:
Catalog No.*:
Comments and Specifics(amount, formulation, etc.)*:
Validation code: Captchapackage Image


Can't read the image? click here to refresh.
    *required field

Your bulk quote request has been submitted successfully!

Please contact us if you have any questions.