• Tel: 858.663.9055
  • SeparatorEmail: info@nsjbio.com
  • Tel: 858.663.9055
  • Email: info@nsjbio.com
Home >> Antibodies >> TCF7L1 Antibody / TCF3

TCF7L1 Antibody / TCF3 (R32325)

  Catalog No Formulation Size Price (USD)  
Image R32325 0.5mg/ml if reconstituted with 0.2ml sterile DI water 100 ug 439
Bulk quote request
Western blot testing of human COLO320 cell lysate with TCF7L1 antibody. Expected/observed molecular weight ~63 kDa.
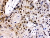
IHC testing of FFPE human esophagus squamous cell carcinoma tissue with TCF7L1 antibody. HIER: Boil the paraffin sections in pH 6, 10mM citrate buffer for 20 minutes and allow to cool prior to staining.
Availability 1-3 business days
Species Reactivity Human
Format Antigen affinity purified
Clonality Polyclonal (rabbit origin)
Isotype Rabbit IgG
Purity Antigen affinity
Buffer Lyophilized from 1X PBS with 2.5% BSA and 0.025% sodium azide
UniProt Q9HCS4
Localization Nuclear
Applications Western Blot : 0.1-0.5ug/ml
IHC (FFPE) : 0.5-1ug/ml
Limitations This TCF7L1 antibody is available for research use only.
Review this product on BioCompare and get a $20 Amazon gift card

Description

Transcription factor 7-like 1 (T-cell specific, HMG-box), also known as TCF7L1, is a human gene. This gene encodes a member of the T cell factor/lymphoid enhancer factor family of transcription factors. These transcription factors are activated by beta catenin, mediate the Wnt signaling pathway and are antagonized by the transforming growth factor beta signaling pathway. The encoded protein contains a high mobility group-box DNA binding domain and participates in the regulation of cell cycle genes and cellular senescence.

Application Notes

Optimal dilution of the TCF7L1 antibody should be determined by the researcher.

Immunogen

Amino acids SFPATLHAHQALPVLQAQPLSLVTKSAH of human TCF7L1 were used as the immunogen for the TCF7L1 antibody.

Storage

After reconstitution, the TCF7L1 antibody can be stored for up to one month at 4oC. For long-term, aliquot and store at -20oC. Avoid repeated freezing and thawing.

Cross
Bulk Quote Request Form
Name*:
Organization*:
Email*:
Phone Number*:
Catalog No.*:
Comments and Specifics(amount, formulation, etc.)*:
Validation code: Captchapackage Image


Can't read the image? click here to refresh.
    *required field

Your bulk quote request has been submitted successfully!

Please contact us if you have any questions.