• Tel: 858.663.9055
  • SeparatorEmail: info@nsjbio.com
  • Tel: 858.663.9055
  • Email: info@nsjbio.com
Home >> Antibodies >> TCF7 Antibody / Transcription Factor 7

TCF7 Antibody / Transcription Factor 7 [clone TCF7/7631] (V5090)

  Catalog No Formulation Size Price (USD)  
Image V5090-100UG 0.2 mg/ml in 1X PBS with 0.1 mg/ml BSA (US sourced), 0.05% sodium azide 100 ug 539
Image
V5090-20UG 0.2 mg/ml in 1X PBS with 0.1 mg/ml BSA (US sourced), 0.05% sodium azide 20 ug 249
Image
V5090SAF-100UG 1 mg/ml in 1X PBS; BSA free, sodium azide free 100 ug 539
Bulk quote request
IHC staining of FFPE human lymph node tissue with TCF7 antibody (clone TCF7/7631). HIER: boil tissue sections in pH 9 10mM Tris with 1mM EDTA for 20 min and allow to cool before testing.
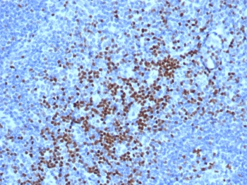
IHC staining of FFPE human tonsil tissue with TCF7 antibody (clone TCF7/7631). Inset: PBS used in place of primary Ab (secondary Ab negative control). HIER: boil tissue sections in pH 9 10mM Tris with 1mM EDTA for 20 min and allow to cool before testing.
SDS-PAGE analysis of purified, BSA-free TCF7 antibody (clone TCF7/7631) as confirmation of integrity and purity.
Availability 1-3 business days
Species Reactivity Human
Format Purified
Clonality Monoclonal (mouse origin)
Isotype Mouse IgG2, kappa
Clone Name TCF7/7631
Purity Protein A/G affinity
UniProt P36402
Localization Nuclear
Applications Immunohistochemistry (FFPE) : 1-2ug/ml for 30 min at RT
Limitations This TCF7 antibody is available for research use only.
Review this product on BioCompare and get a $20 Amazon gift card

Related Products

Description

Transcriptional activator involved in T-cell lymphocyte differentiation. Necessary for the survival of CD4(+) CD8(+) immature thymocytes. Isoforms lacking the N-terminal CTNNB1 binding domain cannot fulfill this role. Binds to the T-lymphocyte-specific enhancer element (5'-WWCAAAG-3') found in the promoter of the CD3E gene. Represses expression of the T-cell receptor gamma gene in alpha-beta T-cell lineages (By similarity). Required for the development of natural killer receptor-positive lymphoid tissue inducer T-cells (By similarity). TLE1, TLE2, TLE3 and TLE4 repress transactivation mediated by TCF7 and CTNNB1.May also act as feedback transcriptional repressor of CTNNB1 and TCF7L2 target genes.

Application Notes

Optimal dilution of the TCF7 antibody should be determined by the researcher.

Immunogen

A recombinant partial protein sequence (within amino acids 200-400) from the human protein was used as the immunogen for the TCF7 antibody.

Storage

Aliquot the TCF7 antibody and store frozen at -20oC or colder. Avoid repeated freeze-thaw cycles.

Cross
Bulk Quote Request Form
Name*:
Organization*:
Email*:
Phone Number*:
Catalog No.*:
Comments and Specifics(amount, formulation, etc.)*:
Validation code: Captchapackage Image


Can't read the image? click here to refresh.
    *required field

Your bulk quote request has been submitted successfully!

Please contact us if you have any questions.