• Tel: 858.663.9055
  • SeparatorEmail: info@nsjbio.com
  • Tel: 858.663.9055
  • Email: info@nsjbio.com
Home >> Antibodies >> TCF4 Antibody

TCF4 Antibody [clone TCF4/2252] (V8990)

  Catalog No Formulation Size Price (USD)  
Image V8990-100UG 0.2 mg/ml in 1X PBS with 0.1 mg/ml BSA (US sourced), 0.05% sodium azide 100 ug 539
Image
V8990-20UG 0.2 mg/ml in 1X PBS with 0.1 mg/ml BSA (US sourced), 0.05% sodium azide 20 ug 249
Image
V8990SAF-100UG 1 mg/ml in 1X PBS; BSA free, sodium azide free 100 ug 539
Bulk quote request
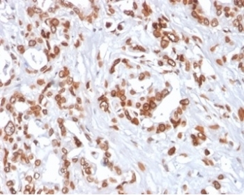
IHC staining of FFPE human breast carcinoma tissue with TCF4 antibody (clone TCF4/2252) at 2ug/ml. HIER: boil tissue sections in pH 9 10mM Tris with 1mM EDTA for 20 min and allow to cool before testing.
IHC staining of FFPE human bladder carcinoma tissue with TCF4 antibody (clone TCF4/2252) at 2ug/ml. HIER: boil tissue sections in pH 9 10mM Tris with 1mM EDTA for 20 min and allow to cool before testing.
Availability 1-3 business days
Species Reactivity Human
Format Purified
Clonality Monoclonal (mouse origin)
Isotype Mouse IgG2c, kappa
Clone Name TCF4/2252
Purity Protein A/G affinity
UniProt P15884
Localization Nucleus, Cytoplasm
Applications ELISA (For Coating :
Order BSA-free Format) :
Immunohistochemistry (FFPE) : 1-2ug/ml
Limitations This TCF4 antibody is available for research use only.
Review this product on BioCompare and get a $20 Amazon gift card

Related Products

Description

Recognizes a protein of 71kDa, identified as Transcription Factor 4 (TCF4). It is a basic helix-loop-helix transcription factor. The encoded protein recognizes an Ephrussi-box () - a motif first identified in immunoglobulin enhancers. This gene is broadly expressed and may play an important role in nervous system development. Defects in this gene are a cause of Pitt-Hopkins syndrome.

Application Notes

Optimal dilution of the TCF4 antibody should be determined by the researcher.

Immunogen

A portion of amino acids 365-671 was used as the immunogen for the TCF4 antibody.

Storage

Aliquot the TCF4 antibody and store frozen at -20oC or colder. Avoid repeated freeze-thaw cycles.

Cross
Bulk Quote Request Form
Name*:
Organization*:
Email*:
Phone Number*:
Catalog No.*:
Comments and Specifics(amount, formulation, etc.)*:
Validation code: Captchapackage Image


Can't read the image? click here to refresh.
    *required field

Your bulk quote request has been submitted successfully!

Please contact us if you have any questions.