• Tel: 858.663.9055
  • SeparatorEmail: info@nsjbio.com
  • Tel: 858.663.9055
  • Email: info@nsjbio.com
Home >> Antibodies >> TCF4 Antibody

TCF4 Antibody [clone TCF4/1705] (V3887)

  Catalog No Formulation Size Price (USD)  
Image V3887-100UG 0.2 mg/ml in 1X PBS with 0.1 mg/ml BSA (US sourced) and 0.05% sodium azide 100 ug 539
Image
V3887-20UG 0.2 mg/ml in 1X PBS with 0.1 mg/ml BSA (US sourced) and 0.05% sodium azide 20 ug 249
Image
V3887SAF-100UG 1 mg/ml in 1X PBS; BSA free, sodium azide free 100 ug 539
Microvalidated
Bulk quote request
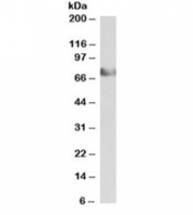
Western blot testing of human 1) HeLa and 2) HepG2 cell lysate with TCF4 antibody (clone TCF4/1705). Predicted molecular weight ~71 kDa.
Analysis of HuProt(TM) microarray containing more than 19,000 full-length human proteins using TCF4 antibody (clone TCF4/1705). These results demonstrate the foremost specificity of the TCF4/1705 mAb.
Z- and S- score: The Z-score represents the strength of a signal that an antibody (in combination with a fluorescently-tagged anti-IgG secondary Ab) produces when binding to a particular protein on the HuProt(TM) array. Z-scores are described in units of standard deviations (SD's) above the mean value of all signals generated on that array. If the targets on the HuProt(TM) are arranged in descending order of the Z-score, the S-score is the difference (also in units of SD's) between the Z-scores. The S-score therefore represents the relative target specificity of an Ab to its intended target.
SDS-PAGE analysis of purified, BSA-free TCF4 antibody (clone TCF4/1705) as confirmation of integrity and purity.
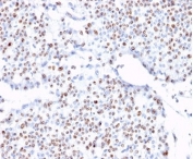
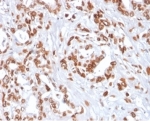
IHC staining of FFPE human bladder with TCF4 antibody (clone TCF4/1705). HIER: boil tissue sections in pH 9 10mM Tris with 1mM EDTA for 20 min and allow to cool before testing.
Species Reactivity Human
Format Purified
Clonality Monoclonal (mouse origin)
Isotype Mouse IgG2a, kappa
Clone Name TCF4/1705
Purity Protein G affinity chromatography
UniProt P15884
Localization Nuclear
Applications ELISA : 2-4ug/ml (order BSA/azide-free format)
Western Blot : 1-2ug/ml
Immunohistochemistry (FFPE) : 1-2ug/ml
Limitations This TCF4 antibody is available for research use only.
Review this product on BioCompare and get a $20 Amazon gift card

Related Products

Description

Recognizes a protein of 71kDa, identified as Transcription Factor 4 (TCF4). It is a basic helix-loop-helix transcription factor. The encoded protein recognizes an Ephrussi-box ('E-box') binding site ('CANNTG') - a motif first identified in immunoglobulin enhancers. This gene is broadly expressed, and may play an important role in nervous system development. Defects in this gene are a cause of Pitt-Hopkins syndrome.

Application Notes

Optimal dilution of the TCF4 antibody should be determined by the researcher.

Immunogen

A portion of amino acids 365-671 from the human protein was used as the immunogen for this TCF4 antibody.

Storage

Store the TCF4 antibody at 2-8oC (with azide) or aliquot and store at -20oC or colder (without azide).

Cross
Bulk Quote Request Form
Name*:
Organization*:
Email*:
Phone Number*:
Catalog No.*:
Comments and Specifics(amount, formulation, etc.)*:
Validation code: Captchapackage Image


Can't read the image? click here to refresh.
    *required field

Your bulk quote request has been submitted successfully!

Please contact us if you have any questions.