• Tel: 858.663.9055
  • SeparatorEmail: info@nsjbio.com
  • Tel: 858.663.9055
  • Email: info@nsjbio.com
Home >> Antibodies >> TBX18 Antibody / T-box protein 18

TBX18 Antibody / T-box protein 18 (RQ7526)

  Catalog No Formulation Size Price (USD)  
Image RQ7526 0.5mg/ml if reconstituted with 0.2ml sterile DI water 100 ug 439
Bulk quote request
Immunofluorescent staining of FFPE human breast cancer tissue with TBX18 antibody (red). HIER: steam section in pH8 EDTA buffer for 20 min.
IHC staining of FFPE human squamous cell carcinoma tissue with TBX18 antibody. HIER: boil tissue sections in pH8 EDTA for 20 min and allow to cool before testing.
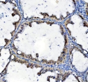
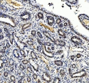
IHC staining of FFPE human thyroid cancer tissue with TBX18 antibody. HIER: boil tissue sections in pH8 EDTA for 20 min and allow to cool before testing.
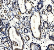
IHC staining of FFPE human ovarian cancer tissue with TBX18 antibody. HIER: boil tissue sections in pH8 EDTA for 20 min and allow to cool before testing.
IHC staining of FFPE human moderately differentiated adenocarcinoma of the cervix tissue with TBX18 antibody. HIER: boil tissue sections in pH8 EDTA for 20 min and allow to cool before testing.
IHC staining of FFPE human lung cancer tissue with TBX18 antibody. HIER: boil tissue sections in pH8 EDTA for 20 min and allow to cool before testing.
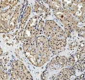
IHC staining of FFPE human liver cancer tissue with TBX18 antibody. HIER: boil tissue sections in pH8 EDTA for 20 min and allow to cool before testing.
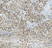
IHC staining of FFPE human colon cancer tissue with TBX18 antibody. HIER: boil tissue sections in pH8 EDTA for 20 min and allow to cool before testing.
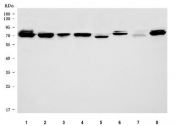
Western blot testing of 1) human HeLa, 2) human 293T, 3) human placenta, 4) human Jurkat, 5) rat kidney, 6) rat PC-12, 7) mouse kidney and 8) mouse NIH 3T3 cell lysate with TBX18 antibody. Predicted molecular weight ~64 kDa, commonly observed at 64-70 kDa.
Flow cytometry testing of fixed and permeabilized human U-87 MG cells with TBX18 antibody at 1ug/million cells (blocked with goat sera); Red=cells alone, Green=isotype control, Blue= TBX18 antibody.
Availability 1-3 business days
Species Reactivity Human, Mouse, Rat
Format Antigen affinity purified
Clonality Polyclonal (rabbit origin)
Isotype Rabbit IgG
Purity Antigen affinity purified
Buffer Lyophilized from 1X PBS with 2% Trehalose
UniProt O95935
Localization Nuclear
Applications Western Blot : 0.5-1ug/ml
Flow Cytometry : 1-3ug/million cells
Immunohistochemistry (FFPE) : 2-5ug/ml
Immunofluorescence : 5ug/ml
Direct ELISA : 0.1-0.5ug/ml
Limitations This TBX18 antibody is available for research use only.
Review this product on BioCompare and get a $20 Amazon gift card

Description

This genes codes for a member of an evolutionarily conserved family of transcription factors that plays a crucial role in embryonic development. The family is characterized by the presence of the DNA-binding T-box domain and is divided into five sub-families based on sequence conservation in this domain. The encoded protein belongs to the vertebrate specific Tbx1 sub-family. The protein acts as a transcriptional repressor by antagonizing transcriptional activators in the T-box family. The protein forms homo- or heterodimers with other transcription factors of the T-box family or other transcription factors.

Application Notes

Optimal dilution of the TBX18 antibody should be determined by the researcher.

Immunogen

E. coli-derived recombinant human protein (amino acids M1-V607) was used as the immunogen for the TBX18 antibody.

Storage

After reconstitution, the TBX18 antibody can be stored for up to one month at 4oC. For long-term, aliquot and store at -20oC. Avoid repeated freezing and thawing.

Cross
Bulk Quote Request Form
Name*:
Organization*:
Email*:
Phone Number*:
Catalog No.*:
Comments and Specifics(amount, formulation, etc.)*:
Validation code: Captchapackage Image


Can't read the image? click here to refresh.
    *required field

Your bulk quote request has been submitted successfully!

Please contact us if you have any questions.