• Tel: 858.663.9055
  • SeparatorEmail: info@nsjbio.com
  • Tel: 858.663.9055
  • Email: info@nsjbio.com
Home >> Antibodies >> TBX1 Antibody / T-box protein 1

TBX1 Antibody / T-box protein 1 (F54472)

  Catalog No Formulation Size Price (USD)  
Image F54472-0.4ML In 1X PBS, pH 7.4, with 0.09% sodium azide 0.4 ml 429
Image
F54472-0.08ML In 1X PBS, pH 7.4, with 0.09% sodium azide 0.08 ml 199
Bulk quote request
Western blot testing of human HUVEC with TBX1 antibody. Predicted molecular weight ~43 kD.
Western blot testing of human HLVEC with TBX1 antibody. Predicted molecular weight ~43 kD.
Immunofluorescent staining of fixed and permeabilized human A2058 cells with TBX1 antibody (green), DAPI nuclear stain (blue) and anti-Actin (red).
IHC testing of FFPE human breast tissue with TBX1 antibody. HIER: steam section in pH6 citrate buffer for 20 min and allow to cool prior to staining.
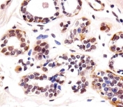
IHC testing of FFPE human testis tissue with TBX1 antibody. HIER: steam section in pH6 citrate buffer for 20 min and allow to cool prior to staining.
Availability 1-3 business days
Species Reactivity Human
Format Purified
Clonality Polyclonal (rabbit origin)
Isotype Rabbit Ig
Purity Antigen affinity purified
UniProt O43435
Localization Nuclear
Applications Immunohistochemistry (FFPE) : 1:25
Western Blot : 1:500-1:2000
Immunofluorescence : 1:25
Limitations This TBX1 antibody is available for research use only.
Review this product on BioCompare and get a $20 Amazon gift card

Description

TBX1 is a member of a phylogenetically conserved family of genes that share a common DNA-binding domain, the T-box. T-box genes encode transcription factors involved in the regulation of developmental processes. This gene product shares 98% amino acid sequence identity with the mouse ortholog. DiGeorge syndrome (DGS)/velocardiofacial syndrome (VCFS), a common congenital disorder characterized by neural-crest-related developmental defects, has been associated with deletions of chromosome 22q11.2, where this gene has been mapped. Studies using mouse models of DiGeorge syndrome suggest a major role for this gene in the molecular etiology of DGS/VCFS. Several alternatively spliced transcript variants encoding different isoforms have been described for this gene.

Application Notes

The stated application concentrations are suggested starting points. Titration of the TBX1 antibody may be required due to differences in protocols and secondary/substrate sensitivity.

Immunogen

A portion of amino acids 327-356 from the human protein was used as the immunogen for the TBX1 antibody.

Storage

Aliquot the TBX1 antibody and store frozen at -20oC or colder. Avoid repeated freeze-thaw cycles.

Cross
Bulk Quote Request Form
Name*:
Organization*:
Email*:
Phone Number*:
Catalog No.*:
Comments and Specifics(amount, formulation, etc.)*:
Validation code: Captchapackage Image


Can't read the image? click here to refresh.
    *required field

Your bulk quote request has been submitted successfully!

Please contact us if you have any questions.