- Tel: 858.663.9055
-
Email: info@nsjbio.com
- Tel: 858.663.9055
- Email: info@nsjbio.com
TRAF family member-associated NF-kappa-B activator is a protein that in humans is encoded by the TANK gene. It is mapped to 2q24.2. The TRAF (tumor necrosis factor receptor-associated factor) family of proteins associate with and transduce signals from members of the tumor necrosis factor receptor superfamily. The protein encoded by this gene is found in the cytoplasm and can bind to TRAF1, TRAF2, or TRAF3, thereby inhibiting TRAF function by sequestering the TRAFs in a latent state in the cytoplasm. For example, the protein encoded by this gene can block TRAF2 binding to LMP1, the Epstein-Barr virus transforming protein, and inhibit LMP1-mediated NF-kappa-B activation. Three alternatively spliced transcript variants encoding different isoforms have been found for this gene.
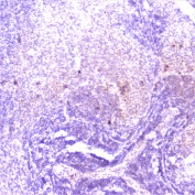
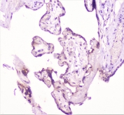
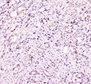
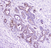
Optimal dilution of the TANK antibody should be determined by the researcher.
Amino acids MDKNIGEQLNKAYEAFRQACMDRDSAVKELQQK were used as the immunogen for the TANK antibody.
After reconstitution, the TANK antibody can be stored for up to one month at 4oC. For long-term, aliquot and store at -20oC. Avoid repeated freezing and thawing.
Your bulk quote request has been submitted successfully!
Please contact us if you have any questions.