• Tel: 858.663.9055
  • SeparatorEmail: info@nsjbio.com
  • Tel: 858.663.9055
  • Email: info@nsjbio.com
Home >> Antibodies >> TAL1 Antibody / T-cell acute lymphocytic leukemia protein 1

TAL1 Antibody / T-cell acute lymphocytic leukemia protein 1 (RQ7508)

  Catalog No Formulation Size Price (USD)  
Image RQ7508 0.5mg/ml if reconstituted with 0.2ml sterile DI water 100 ug 439
Bulk quote request
Flow cytometry testing of human HEL cells with TAL1 antibody at 1ug/million cells (blocked with goat sera); Red=cells alone, Green=isotype control, Blue= TAL1 antibody.
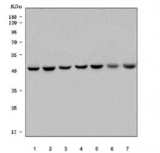
Western blot testing of 1) human Jurkat, 2) human HEL, 3) human MOLT4, 4) rat lug, 5) rat spleen, 6) mouse lung and 7) mouse spleen tissue lysate with TAL1 antibody. Predicted molecular weight ~34 kDa, routinely observed at 39-41 kDa.
Availability 1-3 business days
Species Reactivity Human, Mouse, Rat
Format Antigen affinity purified
Clonality Polyclonal (rabbit origin)
Isotype Rabbit IgG
Purity Antigen affinity purified
Buffer Lyophilized from 1X PBS with 2% Trehalose
UniProt P17542
Applications Western Blot : 0.5-1ug/ml
Flow Cytometry : 1-3ug/million cells
Limitations This TAL1 antibody is available for research use only.
Review this product on BioCompare and get a $20 Amazon gift card

Related Products

Description

T-cell acute lymphocytic leukemia protein 1 is a protein that in humans is encoded by the TAL1 gene. The protein encoded by TAL1 is a basic helix-loop-helix transcription factor. TAL1 is a transcriptionally complex gene that is expressed throughout development, activating or repressing transcription in hematopoietic, neural, and endothelial precursors. This gene is mapped to chromosome 1p33.

Application Notes

Optimal dilution of the TAL1 antibody should be determined by the researcher.

Immunogen

Amino acids EEPAPKHTARSLHPAML from the human protein were used as the immunogen for the TAL1 antibody.

Storage

After reconstitution, the TAL1 antibody can be stored for up to one month at 4oC. For long-term, aliquot and store at -20oC. Avoid repeated freezing and thawing.

Cross
Bulk Quote Request Form
Name*:
Organization*:
Email*:
Phone Number*:
Catalog No.*:
Comments and Specifics(amount, formulation, etc.)*:
Validation code: Captchapackage Image


Can't read the image? click here to refresh.
    *required field

Your bulk quote request has been submitted successfully!

Please contact us if you have any questions.