• Tel: 858.663.9055
  • SeparatorEmail: info@nsjbio.com
  • Tel: 858.663.9055
  • Email: info@nsjbio.com
Home >> Antibodies >> TAK1 Antibody / MAP3K7

TAK1 Antibody / MAP3K7 (R32443)

  Catalog No Formulation Size Price (USD)  
Image R32443 0.5mg/ml if reconstituted with 0.2ml sterile DI water 100 ug 439
Bulk quote request
Immunofluorescent staining of FFPE human SiHa cells with TAK1 antibody (green) and DAPI nuclear stain (blue). HIER: steam section in pH6 citrate buffer for 20 min.
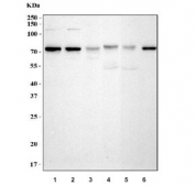
Western blot testing of 1) human MCF7, 2) human A431, 3) human A375, 4) rat heart, 5) mouse heart and 6) mouse NIH 3T3 cell lysate with TAK1 antibody. Predicted molecular weight: 64-69 kDa, routinely observed at 78-82 kDa.
Flow cytometry testing of human U-87 MG cells with TAK1 antibody at 1ug/million cells (blocked with goat sera); Red=cells alone, Green=isotype control, Blue= TAK1 antibody.
Availability 1-3 business days
Species Reactivity Human, Mouse, Rat
Format Antigen affinity purified
Clonality Polyclonal (rabbit origin)
Isotype Rabbit IgG
Purity Antigen affinity
Buffer Lyophilized from 1X PBS with 2% Trehalose
UniProt O43318
Applications Western Blot : 0.5-1ug/ml
Immunofluorescence : 5ug/ml
Flow Cytometry : 1-3ug/ml
Limitations This TAK1 antibody is available for research use only.
Review this product on BioCompare and get a $20 Amazon gift card

Related Products

  • Applications : IF/ICC, WB
    Reactivity : Human, Mouse
    Rab Mono Image
  • Applications : WB, IHC, ELISA
    Reactivity : Human
    Pred. Reactivity : Bovine, Mouse, Rat
  • Applications : WB (transfected), ELISA (peptide)
    Reactivity : Human
    Pred. Reactivity : Mouse, Rat
  • Applications : WB
    Reactivity : Human, Mouse
    Pred. Reactivity : Rat
  • Applications : WB
    Reactivity : Human
    Pred. Reactivity : Rat
  • Applications : IHC-P, WB
    Reactivity : Mouse

Description

Mitogen-activated protein kinase kinase kinase 7, also known as TAK1, is an enzyme that in humans is encoded by the MAP3K7 gene. The protein encoded by this gene is a member of the serine/threonine protein kinase family. This kinase mediates the signaling transduction induced by TGF beta and morphogenetic protein (BMP), and controls a variety of cell functions including transcription regulation and apoptosis. In response to IL-1, this protein forms a kinase complex including TRAF6, MAP3K7P1/TAB1 and MAP3K7P2/TAB2; this complex is required for the activation of nuclear factor kappa B. This kinase can also activate MAPK8/JNK, MAP2K4/MKK4, and thus plays a role in the cell response to environmental stresses. Four alternatively spliced transcript variants encoding distinct isoforms have been reported.

Application Notes

Optimal dilution of the TAK1 antibody should be determined by the researcher.

Immunogen

Amino acids RLVQEHKKLLDENKSLSTYYQQCKKQLEVIRSQQQKRQ were used as the immunogen for the TAK1 antibody.

Storage

Prior to reconstitution, store at 4oC. After reconstitution, the TAK1 antibody can be stored for up to one month at 4oC. For long-term, aliquot and store at -20oC. Avoid repeated freezing and thawing.

Cross
Bulk Quote Request Form
Name*:
Organization*:
Email*:
Phone Number*:
Catalog No.*:
Comments and Specifics(amount, formulation, etc.)*:
Validation code: Captchapackage Image


Can't read the image? click here to refresh.
    *required field

Your bulk quote request has been submitted successfully!

Please contact us if you have any questions.