• Tel: 858.663.9055
  • SeparatorEmail: info@nsjbio.com
  • Tel: 858.663.9055
  • Email: info@nsjbio.com
Home >> Antibodies >> TAG-72 Antibody

TAG-72 Antibody [clone TAGP-4] (V7058)

  Catalog No Formulation Size Price (USD)  
Image V7058-100UG 0.2 mg/ml in 1X PBS with 0.1 mg/ml BSA (US sourced) and 0.05% sodium azide 100 ug 539
Image
V7058-20UG 0.2 mg/ml in 1X PBS with 0.1 mg/ml BSA (US sourced) and 0.05% sodium azide 20 ug 249
Image
V7058SAF-100UG 1 mg/ml in 1X PBS; BSA free, sodium azide free 100 ug 539
Bulk quote request
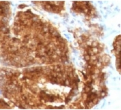
IHC testing of human ovarian carcinoma with TAG-72 antibody (clone TAGP-4).
IHC staining of human prostate carcinoma with TAG-72 antibody (clone TAGP-4).
Species Reactivity Human
Format Purified
Clonality Monoclonal (mouse origin)
Isotype Mouse IgG1, kappa
Clone Name TAGP-4
Purity Protein G affinity chromatography
Gene ID 182875
Localization Cytoplasmic and cell surface
Applications Immunohistochemistry (FFPE) : 1-2ug/ml for 30 min at RT (1)
Limitations This TAG-72 antibody is available for research use only.
Review this product on BioCompare and get a $20 Amazon gift card

Related Products

Description

This antibody recognizes an oncofetal antigen of 220kDa, identified as a tumor-associated glycoprotein (TAG-72) with properties of a mucin. TAG-72 is usually expressed by adenocarcinomas, but is negative in mesotheliomas. Studies have reported that this antibody has 80% sensitivity and 93% specificity for pulmonary adenocarcinoma. Therefore, TAG-72 is a useful marker to distinguish between mesothelioma and adenocarcinoma. However, false positive reactions can occur so results must be interpreted with the utmost caution. This antibody may be useful in the differentiation of non-small cell carcinomas from small cell carcinomas of the lung. The combined use of TAG-72 antibody with a GCDFP-15 antibody is valuable in the diagnosis of apocrine carcinoma.

Application Notes

The concentration stated for each application is a general starting point. Variations in protocols, secondaries and substrates may require the TAG-72 antibody to be titered up or down for optimal performance.

1. HIER: boil tissue sections in pH 9 10mM Tris with 1mM EDTA for 10-20 min followed by cooling at RT for 20 min.

Immunogen

Recombinant human TAG-72 protein was used as the immunogen for this antibody.

Storage

Store the TAG-72 antibody at 2-8oC (with azide) or aliquot and store at -20oC or colder (without azide).

Cross
Bulk Quote Request Form
Name*:
Organization*:
Email*:
Phone Number*:
Catalog No.*:
Comments and Specifics(amount, formulation, etc.)*:
Validation code: Captchapackage Image


Can't read the image? click here to refresh.
    *required field

Your bulk quote request has been submitted successfully!

Please contact us if you have any questions.