• Tel: 858.663.9055
  • SeparatorEmail: info@nsjbio.com
  • Tel: 858.663.9055
  • Email: info@nsjbio.com
Home >> Antibodies >> TAG-72 Antibody

TAG-72 Antibody [clone CC49] (V3178)

  Catalog No Formulation Size Price (USD)  
Image V3178-100UG 0.2 mg/ml in 1X PBS with 0.1 mg/ml BSA (US sourced) and 0.05% sodium azide 100 ug 539
Image
V3178-20UG 0.2 mg/ml in 1X PBS with 0.1 mg/ml BSA (US sourced) and 0.05% sodium azide 20 ug 249
Image
V3178SAF-100UG 1 mg/ml in 1X PBS; BSA free, sodium azide free 100 ug 539
Image
V3178IHC-7ML Prediluted in 1X PBS with 0.1 mg/ml BSA (US sourced) and 0.05% sodium azide; *For IHC use only* 7 ml 539
Bulk quote request
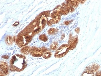
IHC analysis of formalin-fixed, paraffin-embedded human prostate carcinoma stained with TAG-72 antibody (clone CC49).
IHC analysis of formalin-fixed, paraffin-embedded human ovarian carcinoma stained with TAG-72 antibody (clone CC49).
Western blot testing of Jurkat cell lysate with TAG-72 antibody (clone CC49). Expected molecular weight ~220kDa.
Availability 1-3 business days
Species Reactivity Human
Format Purified
Clonality Monoclonal (mouse origin)
Isotype Mouse IgG1, kappa
Clone Name CC49
Purity Protein G affinity chromatography
Localization Cytoplasmic and cell surface
Applications Immunohistochemistry (FFPE) : 1-2ug/ml for 30 min at RT
Limitations This TAG-72 antibody is available for research use only.
Review this product on BioCompare and get a $20 Amazon gift card

Related Products

Description

TAG-72 antibody is an established reagent for studying tumor associated glycoprotein 72, a high molecular weight mucin like glycoprotein expressed on the surface of many human adenocarcinomas. TAG-72 is most commonly detected in colorectal, gastric, pancreatic, breast, and ovarian cancers, but it is largely absent from normal adult tissues. Because of this restricted distribution, the protein is often used as a biomarker to distinguish malignant from non malignant cells in research settings.

TAG-72 is characterized by extensive O linked glycosylation, which contributes to its mucin like structure and confers resistance to proteolytic degradation. Its presence on the cell surface has been linked to altered adhesion, signaling, and immune evasion in cancer. By disrupting normal interactions between epithelial cells and their environment, TAG-72 may enhance tumor progression and metastatic potential. Research on this glycoprotein has provided insights into how altered carbohydrate expression patterns can influence tumor biology.

The TAG-72 antibody clone CC49 is one of the most widely used monoclonal antibodies for detecting this antigen. Clone CC49 binds to epitopes associated with the sialyl Tn carbohydrate structure present on TAG-72. This specificity has made it valuable not only in basic research but also in translational studies where accurate tumor identification is essential. Investigators often employ clone CC49 to confirm the presence of adenocarcinoma cells and to evaluate tumor tissue distribution in experimental models.

Research employing TAG-72 has also influenced the development of immunodiagnostic and therapeutic strategies. The restricted expression of the antigen makes it an appealing target for antibody based therapies and imaging approaches. By reliably labeling malignant tissue, this antibody supports efforts to understand tumor heterogeneity, identify early stage cancers, and evaluate treatment responses. The reproducible performance of clone CC49 ensures dependable results in these diverse research contexts.

NSJ Bioreagents provides this TAG-72 antibody to support cancer biology studies where detection of tumor associated glycoproteins is essential. Its availability allows researchers to examine patterns of glycoprotein expression, assess disease progression, and explore targeted strategies for intervention. Alternate names such as tumor associated glycoprotein 72 antibody, sialyl Tn antigen antibody, and B72.3 related antigen antibody reflect the breadth of terminology scientists may encounter when referencing this tumor marker.

Application Notes

The optimal dilution of the TAG-72 antibody for each application should be determined by the researcher.

1. Staining of formalin-fixed tissues requires boiling tissue sections in pH 9 10mM Tris with 1mM EDTA for 10-20 min followed by cooling at RT for 20 minutes.
2. The prediluted format is supplied in a dropper bottle and is optimized for use in IHC. After epitope retrieval step (if required), drip mAb solution onto the tissue section and incubate at RT for 30 min.

Immunogen

Purified TAG-72 protein was used as the immunogen for this TAG-72 antibody.

Storage

Store the TAG-72 antibody at 2-8oC (with azide) or aliquot and store at -20oC or colder (without azide).

Cross
Bulk Quote Request Form
Name*:
Organization*:
Email*:
Phone Number*:
Catalog No.*:
Comments and Specifics(amount, formulation, etc.)*:
Validation code: Captchapackage Image


Can't read the image? click here to refresh.
    *required field

Your bulk quote request has been submitted successfully!

Please contact us if you have any questions.