• Tel: 858.663.9055
  • SeparatorEmail: info@nsjbio.com
  • Tel: 858.663.9055
  • Email: info@nsjbio.com
Home >> Antibodies >> TAB2 Antibody

TAB2 Antibody (RQ5767)

  Catalog No Formulation Size Price (USD)  
Image RQ5767 0.5mg/ml if reconstituted with 0.2ml sterile DI water 100 ug 439
Bulk quote request
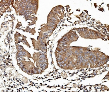
IHC staining of FFPE human rectal cancer with TAB2 antibody. HIER: boil tissue sections in pH8 EDTA for 20 min and allow to cool before testing.
IHC staining of FFPE human rectal cancer with TAB2 antibody. HIER: boil tissue sections in pH8 EDTA for 20 min and allow to cool before testing.
Western blot testing of human 1) HeLa, 2) A549 and 3) HepG2 cell lysate with TAB2 antibody. Predicted molecular weight ~72 kDa.
Flow cytometry testing of human U-87 MG cells with TAB2 antibody at 1ug/million cells (blocked with goat sera); Red=cells alone, Green=isotype control, Blue= TAB2 antibody.
Availability 1-3 business days
Species Reactivity Human
Format Antigen affinity purified
Clonality Polyclonal (rabbit origin)
Isotype Rabbit IgG
Purity Affinity purified
Buffer Lyophilized from 1X PBS with 2% Trehalose and 0.025% sodium azide
UniProt Q9NYJ8
Applications Western Blot : 0.5-1ug/ml
Immunohistochemistry : 1-2ug/ml
Flow Cytometry : 1-3ug/million cells
Direct ELISA : 0.1-0.5ug/ml
Limitations This TAB2 antibody is available for research use only.
Review this product on BioCompare and get a $20 Amazon gift card

Description

Mitogen-activated protein kinase kinase kinase 7-interacting protein 2, also known as TAB2, is an enzyme that in humans is encoded by the MAP3K7IP2 gene. The protein encoded by this gene is an activator of MAP3K7/TAK1, which is required for the IL-1 induced activation of nuclear factor kappaB and MAPK8/JNK. This protein forms a kinase complex with TRAF6, MAP3K7 and TAB1, thus serves as an adaptor linking MAP3K7 and TRAF6. TAB2 functionally links TAK1 to TRAF6. What's more, TAB2 can act as a sensor for inflammatory signals by serving as a molecular beacon for recruitment of MEKK1(MAP3K1), which in turn mediated dismissal of the NCOR/HDAC complex and permitted derepression of AR and estrogen receptor target genes.

Application Notes

Optimal dilution of the TAB2 antibody should be determined by the researcher.

Immunogen

Recombinant human protein (amino acids Q169-K522) was used as the immunogen for the TAB2 antibody.

Storage

After reconstitution, the TAB2 antibody can be stored for up to one month at 4oC. For long-term, aliquot and store at -20oC. Avoid repeated freezing and thawing.

Cross
Bulk Quote Request Form
Name*:
Organization*:
Email*:
Phone Number*:
Catalog No.*:
Comments and Specifics(amount, formulation, etc.)*:
Validation code: Captchapackage Image


Can't read the image? click here to refresh.
    *required field

Your bulk quote request has been submitted successfully!

Please contact us if you have any questions.