• Tel: 858.663.9055
  • SeparatorEmail: info@nsjbio.com
  • Tel: 858.663.9055
  • Email: info@nsjbio.com
Home >> Antibodies >> SYT10 Antibody / Synaptotagmin 10

SYT10 Antibody / Synaptotagmin 10 (FY12946)

  Catalog No Formulation Size Price (USD)  
Image FY12946 Adding 0.2 ml of distilled water will yield a concentration of 500 ug/ml 100 ug 439
Bulk quote request
Immunofluorescent staining of Synaptotagmin-10/SYT10 using anti-SYT10 antibody (red). Synaptotagmin-10/SYT10 was detected in a paraffin-embedded section of mouse brain tissue. Heat mediated antigen retrieval was performed in EDTA buffer (pH 8.0, epitope retrieval solution). The tissue section was blocked with 10% goat serum. The tissue section was then incubated with 5 ug/ml rabbit anti-SYT10 antibody overnight at 4oC. Cy3 Conjugated Goat Anti-Rabbit IgG was used as secondary antibody at 1:500 dilution and incubated for 30 minutes at 37oC. The section was counterstained with DAPI nuclear stain (blue). Visualize using a fluorescence microscope and filter sets appropriate for the label used.
Western blot analysis of Synaptotagmin-10/SYT10 using anti-SYT10 antibody. Electrophoresis was performed on a 10% SDS-PAGE gel at 80V (Stacking gel) / 120V (Resolving gel) for 2 hours. Lane 1: human MCF-7 whole cell lysates, Lane 2: human RT4 whole cell lysates, Lane 3: human K562 whole cell lysates, Lane 4: human U2OS whole cell lysates. After electrophoresis, proteins were transferred to a nitrocellulose membrane at 150 mA for 50-90 minutes. Blocked the membrane with 5% non-fat milk/TBS for 1.5 hour at RT. The membrane was incubated with rabbit anti-SYT10 antibody at 0.5 ug/ml overnight at 4oC, then washed with TBS-0.1%Tween 3 times with 5 minutes each and probed with a goat anti-rabbit IgG-HRP secondary antibody at a dilution of 1:5000 for 1.5 hour at RT. The signal was developed using an ECL Plus Western Blotting Substrate. A specific band was detected for Synaptotagmin-10/SYT10 at approximately 59 kDa. The expected molecular weight of Synaptotagmin-10/SYT10 is at 59 kDa.
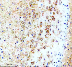
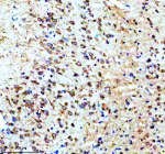
Immunohistochemical staining of Synaptotagmin-10/SYT10 using anti-SYT10 antibody. Synaptotagmin-10/SYT10 was detected in a paraffin-embedded section of rat brain tissue. Heat mediated antigen retrieval was performed in EDTA buffer (pH 8.0, epitope retrieval solution). The tissue section was blocked with 10% goat serum. The tissue section was then incubated with 2 ug/ml rabbit anti-SYT10 antibody overnight at 4oC. Peroxidase Conjugated Goat Anti-rabbit IgG was used as secondary antibody and incubated for 30 minutes at 37oC. The tissue section was developed using an HRP secondary and DAB substrate.
Immunohistochemical staining of Synaptotagmin-10/SYT10 using anti-SYT10 antibody. Synaptotagmin-10/SYT10 was detected in a paraffin-embedded section of mouse brain tissue. Heat mediated antigen retrieval was performed in EDTA buffer (pH 8.0, epitope retrieval solution). The tissue section was blocked with 10% goat serum. The tissue section was then incubated with 2 ug/ml rabbit anti-SYT10 antibody overnight at 4oC. Peroxidase Conjugated Goat Anti-rabbit IgG was used as secondary antibody and incubated for 30 minutes at 37oC. The tissue section was developed using an HRP secondary and DAB substrate.
Immunofluorescent staining of Synaptotagmin-10/SYT10 using anti-SYT10 antibody (red). Synaptotagmin-10/SYT10 was detected in a paraffin-embedded section of rat brain tissue. Heat mediated antigen retrieval was performed in EDTA buffer (pH 8.0, epitope retrieval solution). The tissue section was blocked with 10% goat serum. The tissue section was then incubated with 5 ug/ml rabbit anti-SYT10 antibody overnight at 4oC. Cy3 Conjugated Goat Anti-Rabbit IgG was used as secondary antibody at 1:500 dilution and incubated for 30 minutes at 37oC. The section was counterstained with DAPI nuclear stain (blue). Visualize using a fluorescence microscope and filter sets appropriate for the label used.
Immunofluorescent staining of Synaptotagmin-10/SYT10 using anti-SYT10 antibody (red). Synaptotagmin-10/SYT10 was detected in a paraffin-embedded section of rat brain tissue. Heat mediated antigen retrieval was performed in EDTA buffer (pH 8.0, epitope retrieval solution). The tissue section was blocked with 10% goat serum. The tissue section was then incubated with 5 ug/ml rabbit anti-SYT10 antibody overnight at 4oC. Cy3 Conjugated Goat Anti-Rabbit IgG was used as secondary antibody at 1:500 dilution and incubated for 30 minutes at 37oC. The section was counterstained with DAPI nuclear stain (blue). Visualize using a fluorescence microscope and filter sets appropriate for the label used.
Immunohistochemical staining of Synaptotagmin-10/SYT10 using anti-SYT10 antibody. Synaptotagmin-10/SYT10 was detected in a paraffin-embedded section of rat brain tissue. Heat mediated antigen retrieval was performed in EDTA buffer (pH 8.0, epitope retrieval solution). The tissue section was blocked with 10% goat serum. The tissue section was then incubated with 2 ug/ml rabbit anti-SYT10 antibody overnight at 4oC. Peroxidase Conjugated Goat Anti-rabbit IgG was used as secondary antibody and incubated for 30 minutes at 37oC. The tissue section was developed using an HRP secondary and DAB substrate.
Immunofluorescent staining of Synaptotagmin-10/SYT10 using anti-SYT10 antibody (red). Synaptotagmin-10/SYT10 was detected in a paraffin-embedded section of mouse brain tissue. Heat mediated antigen retrieval was performed in EDTA buffer (pH 8.0, epitope retrieval solution). The tissue section was blocked with 10% goat serum. The tissue section was then incubated with 5 ug/ml rabbit anti-SYT10 antibody overnight at 4oC. Cy3 Conjugated Goat Anti-Rabbit IgG was used as secondary antibody at 1:500 dilution and incubated for 30 minutes at 37oC. The section was counterstained with DAPI nuclear stain (blue). Visualize using a fluorescence microscope and filter sets appropriate for the label used.
Availability 1-2 days
Species Reactivity Human, Mouse, Rat
Format Lyophilized
Clonality Polyclonal (rabbit origin)
Isotype Rabbit IgG
Purity Immunogen affinity purified
Buffer Each vial contains 4 mg Trehalose, 0.9 mg NaCl, 0.2 mg Na2HPO4.
UniProt Q6XYQ8
Localization Cell membrane, vesicles
Applications Western Blot : 0.25-0.5ug/ml
Immunohistochemistry : 2-5ug/ml
Immunofluorescence : 5ug/ml
ELISA : 0.1-0.5ug/ml
Limitations This SYT10 antibody is available for research use only.
Review this product on BioCompare and get a $20 Amazon gift card

Description

SYT10 antibody detects Synaptotagmin-10, a member of the synaptotagmin family of membrane-trafficking proteins involved in calcium-dependent vesicle exocytosis. The UniProt recommended name is Synaptotagmin-10 (SYT10), with alternate names including Synaptotagmin X and p65. Synaptotagmins act as calcium sensors that regulate synaptic vesicle fusion with the plasma membrane, mediating neurotransmitter and hormone release. SYT10, like other synaptotagmins, contains two C2 domains that bind calcium and phospholipids to trigger vesicle exocytosis.

Functionally, SYT10 antibody identifies a 565-amino-acid protein that plays a role in the regulation of insulin secretion and neuronal exocytosis. SYT10 is unique among synaptotagmins because it is expressed in both neuronal and non-neuronal tissues, including the pancreas and pituitary gland. It is associated with the release of insulin-like growth factor 1 (IGF-1) and other neuropeptides in a calcium-dependent manner. Through its C2A and C2B domains, SYT10 mediates the calcium-triggered docking and fusion of secretory vesicles, ensuring precise timing of exocytosis following intracellular signaling events.

The SYT10 antibody is used to study secretory pathways, vesicular transport, and neuronal communication. In neurons, SYT10 localizes to presynaptic membranes and regulates neurotransmitter release by acting as a Ca2+-sensor for synaptic vesicle fusion. In endocrine cells, it supports hormone secretion by coupling calcium signaling to vesicular exocytosis. Expression of SYT10 is enriched in specific brain regions such as the cortex and cerebellum, reflecting specialized regulatory roles in neurotransmission.

Mutations or dysregulation of SYT10 have been associated with altered synaptic signaling and insulin secretion. The SYT10 gene is located on chromosome 12q21.32 and encodes a protein with two conserved C2 domains responsible for calcium and phospholipid binding. Unlike some synaptotagmins that promote rapid synchronous release, SYT10 is implicated in sustained and asynchronous release events. Research indicates that SYT10 may also participate in neurotrophic signaling and membrane repair processes.

SYT10 antibody applications include western blotting, immunocytochemistry, and confocal microscopy to examine vesicle trafficking, synaptic plasticity, and calcium-triggered secretion. Its use extends to neuroendocrine and pancreatic models where SYT10 mediates regulated exocytosis. NSJ Bioreagents provides this antibody validated for research applications in neuroscience, endocrinology, and cell signaling to investigate vesicular transport and exocytotic mechanisms.

Application Notes

Optimal dilution of the SYT10 antibody should be determined by the researcher.

Immunogen

E.coli-derived human Synaptotagmin-10/SYT10 recombinant protein (Position: M1-D363) was used as the immunogen for the SYT10 antibody.

Storage

After reconstitution, the SYT10 antibody can be stored for up to one month at 4oC. For long-term, aliquot and store at -20oC. Avoid repeated freezing and thawing.

Cross
Bulk Quote Request Form
Name*:
Organization*:
Email*:
Phone Number*:
Catalog No.*:
Comments and Specifics(amount, formulation, etc.)*:
Validation code: Captchapackage Image


Can't read the image? click here to refresh.
    *required field

Your bulk quote request has been submitted successfully!

Please contact us if you have any questions.