• Tel: 858.663.9055
  • SeparatorEmail: info@nsjbio.com
  • Tel: 858.663.9055
  • Email: info@nsjbio.com
Home >> Antibodies >> SYPL1 Antibody / Synaptophysin like protein 1

SYPL1 Antibody / Synaptophysin like protein 1 [clone 32S17] (FY12498)

  Catalog No Formulation Size Price (USD)  
Image FY12498 Rabbit IgG in phosphate buffered saline, pH 7.4, 150mM NaCl, 0.02% sodium azide and 50% glycerol, 0.4-0.5mg/ml BSA 100 ul 439
Microvalidated Recrabbitmono
Bulk quote request
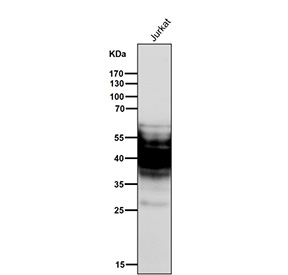
All lanes use the SYPL1 antibody at 1:3K dilution for 1 hour at room temperature. SYPL1 (~28 kDa predicted) was detected as a predominant ~40 kDa band, consistent with published reports describing glycosylation-dependent and hydrophobicity-related slower migration of this vesicle membrane protein. Additional lower bands likely represent partially processed or unglycosylated forms.
Availability 2-3 weeks
Species Reactivity Human
Format Liquid
Clonality Recombinant Rabbit Monoclonal
Isotype Rabbit IgG
Clone Name 32S17
Purity Affinity-chromatography
Buffer Rabbit IgG in phosphate buffered saline, pH 7.4, 150mM NaCl, 0.02% sodium azide and 50% glycerol, 0.4-0.5mg/ml BSA.
UniProt Q16563
Applications Western Blot : 1:500-1:2000
Immunohistochemistry : 1:50-1:200
Limitations This SYPL1 antibody is available for research use only.
Review this product on BioCompare and get a $20 Amazon gift card

Description

SYPL1 antibody detects synaptophysin like protein 1, a membrane protein encoded by the SYPL1 gene. SYPL1 is a small integral membrane protein localized to vesicular structures and associated with synaptic vesicle trafficking. While structurally related to synaptophysin, SYPL1 has distinct expression patterns and functions. It is found in endocrine tissues, immune cells, and certain epithelial cells, suggesting broader roles beyond the nervous system.

SYPL1 antibody is widely applied in research on vesicle biology, secretion, and cancer. SYPL1 has been implicated in regulated exocytosis, immune granule release, and membrane trafficking. In pancreatic islets, SYPL1 supports hormone release, while in immune cells it contributes to vesicular storage and secretion of signaling molecules. Detecting SYPL1 allows researchers to explore how vesicle associated proteins coordinate secretory pathways in different tissues.

The antibody is validated for western blotting, immunohistochemistry, and immunofluorescence. In western blot assays, SYPL1 antibody detects protein bands of the expected size, enabling assessment of expression across samples. Immunohistochemistry reveals SYPL1 expression in pancreas, spleen, and epithelial tissues. Immunofluorescence demonstrates punctate localization in vesicular structures consistent with roles in trafficking and secretion.

SYPL1 has also been studied in cancer biology. Elevated expression has been reported in hepatocellular carcinoma and other malignancies, where it correlates with proliferation, survival, and therapy resistance. By applying SYPL1 antibody, scientists can investigate how vesicle associated proteins contribute to oncogenesis and evaluate their potential as biomarkers or therapeutic targets.

SYPL1 also plays roles in development and immune regulation. In hematopoietic cells, it contributes to granule release and immune defense. In development, SYPL1 influences vesicle formation and trafficking, ensuring proper signaling during differentiation. This versatility highlights the importance of SYPL1 antibody in both basic biology and translational research.

SYPL1 antibody from NSJ Bioreagents offers reliable specificity for vesicle associated membrane protein studies. Its strong performance across methods supports accurate detection of SYPL1 in neuroscience, immunology, and oncology contexts.

Application Notes

Optimal dilution of the SYPL1 antibody should be determined by the researcher.

Immunogen

A synthesized peptide derived from human SYPL1 was used as the immunogen for the SYPL1 antibody.

Storage

Store the SYPL1 antibody at -20oC.

Cross
Bulk Quote Request Form
Name*:
Organization*:
Email*:
Phone Number*:
Catalog No.*:
Comments and Specifics(amount, formulation, etc.)*:
Validation code: Captchapackage Image


Can't read the image? click here to refresh.
    *required field

Your bulk quote request has been submitted successfully!

Please contact us if you have any questions.