• Tel: 858.663.9055
  • SeparatorEmail: info@nsjbio.com
  • Tel: 858.663.9055
  • Email: info@nsjbio.com
Home >> Antibodies >> Syntaxin 6 Antibody

Syntaxin 6 Antibody (R35196)

  Catalog No Formulation Size Price (USD)  
Image R35196-100UG 0.5 mg/ml in 1X TBS, pH7.3, with 0.5% BSA (US sourced) and 0.02% sodium azide 100 ug 449
Bulk quote request
Western blot testing of human lymph node lysate with Syntaxin 6 antibody at 0.3ug/ml. Predicted molecular weight: ~29kDa.
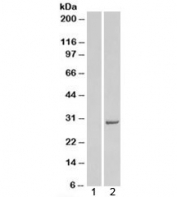
Western blot of HEK293 lysate overexpressing human STX6 probed with Syntaxin 6 antibody (mock transfection in lane 1). Predicted molecular weight: ~29kDa.
Availability 1-3 business days
Species Reactivity Human
Predicted Reactivity Dog, Mouse, Rat
Format Antigen affinity purified
Clonality Polyclonal (goat origin)
Isotype Goat Ig
Purity Antigen affinity
Gene ID 10228
Applications Western Blot : 0.3-1ug/ml
ELISA (peptide) LOD : 1:32000
Limitations This Syntaxin 6 antibody is available for research use only.
Review this product on BioCompare and get a $20 Amazon gift card

Related Products

  • Applications : WB, FACS, Direct ELISA
    Reactivity : Human, Mouse, Rat

Description

Additional name(s) for this target protein: STX6

Application Notes

Optimal dilution of the Syntaxin 6 antibody should be determined by the researcher.

Immunogen

Amino acids QALAERKNRQA were used as the immunogen for this Syntaxin 6 antibody.

Storage

Aliquot and store the Syntaxin 6 antibody at -20oC.

Cross
Bulk Quote Request Form
Name*:
Organization*:
Email*:
Phone Number*:
Catalog No.*:
Comments and Specifics(amount, formulation, etc.)*:
Validation code: Captchapackage Image


Can't read the image? click here to refresh.
    *required field

Your bulk quote request has been submitted successfully!

Please contact us if you have any questions.