• Tel: 858.663.9055
  • SeparatorEmail: info@nsjbio.com
  • Tel: 858.663.9055
  • Email: info@nsjbio.com
Home >> Antibodies >> Syndecan 3 Antibody

Syndecan 3 Antibody (R31248)

  Catalog No Formulation Size Price (USD)  
Image R31248 0.5mg/ml if reconstituted with 0.2ml sterile DI water 100 ug 439
Bulk quote request
Western blot testing of 1) human U-2 OS, 2) rat PC-12 and 3) mouse NIH 3T3 cell lysate with Syndecan 3 antibody. Predicted molecular weight ~46 kDa but may be observed at higher molecular weights due to glycosylation.
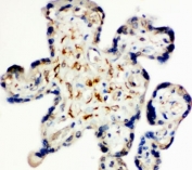
IHC staining of FFPE human placental tissue with Syndecan 3 antibody. HIER: boil tissue sections in pH8 EDTA for 20 min and allow to cool before testing.
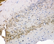
IHC staining of FFPE rat brain tissue with Syndecan 3 antibody. HIER: boil tissue sections in pH8 EDTA for 20 min and allow to cool before testing.
Availability 1-3 business days
Species Reactivity Human, Mouse, Rat
Format Antigen affinity purified
Clonality Polyclonal (rabbit origin)
Isotype Rabbit IgG
Purity Antigen affinity
Buffer Lyophilized from 1X PBS with 2.5% BSA and 0.025% sodium azide/thimerosal
UniProt Q64519
Applications Western Blot : 0.5-1ug/ml
Immunohistochemistry (FFPE) : 0.5-1ug/ml
Limitations This Syndecan 3 antibody is available for research use only.
Review this product on BioCompare and get a $20 Amazon gift card

Related Products

Description

Syndecan-3, also called SYND3, is a protein that in humans is encoded by the SDC3 gene. This gene was assigned to human chromosome 1p35.2. This gene can function as in trans HIV receptors via binding of HIV-1 gp120 to the syndecan heparin sulfate chains. It may play a role in the organization of cell shape by affecting the actin cytoskeleton, and possibly by transferring signals from the cell surface in a sugar-dependent mechanism. In wildtype mice, SDC3 was expressed in hypothalamic regions that control energy balance. It was proposed that oscillation of hypothalamic SDC3 levels physiologically modulates feeding behavior.

Application Notes

The stated application concentrations are suggested starting amounts. Titration of the Syndecan 3 antibody may be required due to differences in protocols and secondary/substrate sensitivity.

Immunogen

An amino acid sequence from the N-terminus of mouse Syndecan 3 (AQRWRNENFERPVDLE) was used as the immunogen for this Syndecan 3 antibody (100% rat homology).

Storage

After reconstitution, the Syndecan 3 antibody can be stored for up to one month at 4oC. For long-term, aliquot and store at -20oC. Avoid repeated freezing and thawing.

Cross
Bulk Quote Request Form
Name*:
Organization*:
Email*:
Phone Number*:
Catalog No.*:
Comments and Specifics(amount, formulation, etc.)*:
Validation code: Captchapackage Image


Can't read the image? click here to refresh.
    *required field

Your bulk quote request has been submitted successfully!

Please contact us if you have any questions.