• Tel: 858.663.9055
  • SeparatorEmail: info@nsjbio.com
  • Tel: 858.663.9055
  • Email: info@nsjbio.com
Home >> Antibodies >> Synapsin II Antibody / SYN2

Synapsin II Antibody / SYN2 (R32568)

  Catalog No Formulation Size Price (USD)  
Image R32568 0.5mg/ml if reconstituted with 0.2ml sterile DI water 100 ug 439
Bulk quote request
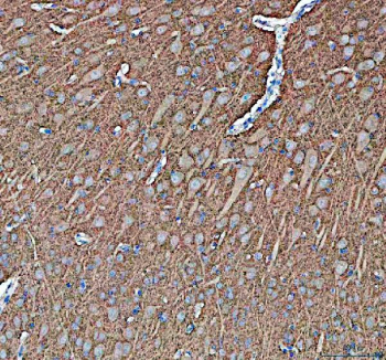
IHC staining of FFPE pig brain tissue with Synapsin II antibody, HRP-secondary and DAB substrate. HIER: boil tissue sections in pH8 EDTA for 20 min and allow to cool before testing.
IHC staining of FFPE pig brain tissue with Synapsin II antibody, HRP-secondary and DAB substrate. HIER: boil tissue sections in pH8 EDTA for 20 min and allow to cool before testing.
IHC staining of FFPE rat brain tissue with Synapsin II antibody, HRP-secondary and DAB substrate. HIER: boil tissue sections in pH8 EDTA for 20 min and allow to cool before testing.
Immunofluorescent staining of FFPE human U-2 OS cells with Synapsin II antibody (green) and Alpha Tubulin mAb (red). HIER: steam section in pH6 citrate buffer for 20 min.
Western blot testing of 1) human SH-SY-5Y, 2) rat brain and 3) mouse brain cell lysate with Synapsin II antibody at 0.5ug/ml. Predicted molecular weight: 55-58 kDa (isoform a) and 70-75 kDa (isoform b).
Availability 1-3 business days
Species Reactivity Human, Mouse, Rat, Pig
Format Antigen affinity purified
Clonality Polyclonal (rabbit origin)
Isotype Rabbit IgG
Purity Antigen affinity
Buffer Lyophilized from 1X PBS with 2% Trehalose
UniProt Q92777
Applications Western Blot : 0.5-1ug/ml
Immunohistochemistry (FFPE) : 2-5ug/ml
Immunofluorescence : 5ug/ml
Limitations This Synapsin II antibody is available for research use only.
Review this product on BioCompare and get a $20 Amazon gift card

Description

Synapsin II antibody is a valuable reagent for studying synaptic function and plasticity. The encoded protein, Synapsin II (SYN2), belongs to the synapsin family of neuron-specific phosphoproteins that associate with the cytoplasmic surface of synaptic vesicles. These proteins are essential for regulating neurotransmitter release, vesicle trafficking, and synaptic maturation. Synapsin II plays a particularly important role in clustering synaptic vesicles at presynaptic terminals and maintaining the reserve pool of vesicles available for activity-dependent release.

SYN2 exists in multiple isoforms produced through alternative splicing, with distinct but overlapping functions in neurons. Phosphorylation of Synapsin II by kinases such as PKA, CaMKII, and MAPK modulates its affinity for vesicles and actin filaments, providing a mechanism by which neuronal activity directly influences neurotransmitter release. Through this regulation, Synapsin II helps coordinate short-term synaptic plasticity and is integral to processes such as learning, memory formation, and adaptation to repeated stimulation.

Alterations in Synapsin II expression or function have been linked to neurological disease. Genetic studies associate mutations or deletions in SYN2 with epilepsy, where impaired vesicle trafficking leads to abnormal neuronal excitability. Additionally, changes in synapsin levels have been observed in neurodegenerative conditions, including Alzheimer disease and Parkinson disease, suggesting a broader role in maintaining neuronal health. These findings underscore the importance of Synapsin II as both a biomarker and a potential target in the study of neurological disorders.

Experimental work highlights that Synapsin II interacts with other synaptic proteins, including Synapsin I and Synapsin III, as well as actin cytoskeletal elements. This network of interactions stabilizes synaptic vesicles within presynaptic boutons and contributes to the regulation of vesicle mobilization during repetitive firing. Antibody-based studies have been instrumental in localizing Synapsin II to nerve terminals and in clarifying its contribution to synaptic vesicle cycling.

The Synapsin II antibody is commonly used in western blotting, immunohistochemistry, immunofluorescence, and flow cytometry to assess protein expression and localization in neuronal tissue and cultured cells. These applications enable scientists to track changes in vesicle organization, neurotransmitter release mechanisms, and disease-related alterations in synaptic protein levels. Researchers investigating synaptic biology, neurodevelopment, and neurological disease can rely on the Synapsin II antibody for high-quality detection. NSJ Bioreagents provides rigorously validated antibodies that deliver consistent results for advanced neuroscience research.

Application Notes

Differences in protocols and secondary/substrate sensitivity may require the Synapsin II antibody to be titrated for optimal performance.

Immunogen

Amino acids A497-D582 from the human protein were used as the immunogen for the Synapsin II antibody.

Storage

After reconstitution, the Synapsin II antibody can be stored for up to one month at 4oC. For long-term, aliquot and store at -20oC. Avoid repeated freezing and thawing.

Cross
Bulk Quote Request Form
Name*:
Organization*:
Email*:
Phone Number*:
Catalog No.*:
Comments and Specifics(amount, formulation, etc.)*:
Validation code: Captchapackage Image


Can't read the image? click here to refresh.
    *required field

Your bulk quote request has been submitted successfully!

Please contact us if you have any questions.