• Tel: 858.663.9055
  • SeparatorEmail: info@nsjbio.com
  • Tel: 858.663.9055
  • Email: info@nsjbio.com
Home >> Antibodies >> SYK Antibody / Spleen tyrosine kinase

SYK Antibody / Spleen tyrosine kinase (RQ5553)

  Catalog No Formulation Size Price (USD)  
Image RQ5553 0.5mg/ml if reconstituted with 0.2ml sterile DI water 100 ug 439
Bulk quote request
Western blot testing of human 1) placenta and 2) ThP-1 lysate with SYK antibody. Predicted molecular weight ~72 kDa.
Western blot testing of mouse 1) thymus, 2) lung and 3) SP20 lysate with SYK antibody. Predicted molecular weight ~72 kDa.
Western blot testing of rat thymus lysate with SYK antibody. Predicted molecular weight ~72 kDa.
Flow cytometry testing of fixed and permeabilized human ThP-1 cells with SYK antibody at 1ug/million cells (blocked with goat sera); Red=cells alone, Green=isotype control, Blue= SYK antibody.
Flow cytometry testing of fixed and permeabilized human A431 cells with SYK antibody at 1ug/million cells (blocked with goat sera); Red=cells alone, Green=isotype control, Blue= SYK antibody.
Flow cytometry testing of fixed and permeabilized human RT4 cells with SYK antibody at 1ug/million cells (blocked with goat sera); Red=cells alone, Green=isotype control, Blue= SYK antibody.
IHC staining of FFPE human lymphoma tissue with SYK antibody, HRP-secondary and DAB substrate. HIER: boil tissue sections in pH8 EDTA for 20 min and allow to cool before testing.
IHC staining of FFPE mouse spleen tissue with SYK antibody, HRP-secondary and DAB substrate. HIER: boil tissue sections in pH8 EDTA for 20 min and allow to cool before testing.
IHC staining of FFPE rat spleen tissue with SYK antibody, HRP-secondary and DAB substrate. HIER: boil tissue sections in pH8 EDTA for 20 min and allow to cool before testing.
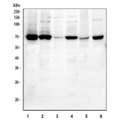
Western blot testing of 1) human ThP1, 2) human HEL, 3) human A431, 4) human RT4, 5) rat spleen and 6) mouse RAW264.7 cell lysate with SYK antibody. Predicted molecular weight ~72 kDa.
Availability 1-3 business days
Species Reactivity Human, Mouse, Rat
Format Antigen affinity purified
Clonality Polyclonal (rabbit origin)
Isotype Rabbit IgG
Purity Affinity purified
Buffer Lyophilized from 1X PBS with 2% Trehalose
UniProt P43405
Localization Cytoplasm, cell membrane
Applications Western Blot : 0.5-1ug/ml
Flow Cytometry : 1-3ug/million cells
Direct ELISA : 0.1-0.5ug/ml
Immunohistochemistry (FFPE) : 2-5ug/ml
Limitations This SYK antibody is available for research use only.
Review this product on BioCompare and get a $20 Amazon gift card

Related Products

Description

Spleen tyrosine kinase (SYK) is a non-receptor cytoplasmic tyrosine kinase that plays a central role in immune cell signaling. It is activated downstream of immune receptors such as the B cell receptor (BCR), Fc receptors, and integrins, where it propagates signals that regulate proliferation, differentiation, and cytokine release.

SYK is expressed in hematopoietic cells and has also been detected in non-immune tissues, where it contributes to cell adhesion and vascular integrity. Aberrant SYK activity has been associated with autoimmune diseases, inflammatory responses, and cancer progression, making it an important subject of therapeutic and diagnostic research.

Using a high-quality SYK antibody allows for sensitive detection in applications such as western blot, immunohistochemistry, and flow cytometry. An SYK antibody from NSJ Bioreagents provides reliable and reproducible results for studies in immune receptor signaling, oncology, and inflammation. Selecting the right SYK antibody is essential for generating accurate and meaningful research outcomes.

Application Notes

Optimal dilution of the SYK antibody should be determined by the researcher.

Immunogen

A human recombinant protein (amino acids A10-N635) was used as the immunogen for the SYK antibody.

Storage

After reconstitution, the SYK antibody can be stored for up to one month at 4oC. For long-term, aliquot and store at -20oC. Avoid repeated freezing and thawing.

Cross
Bulk Quote Request Form
Name*:
Organization*:
Email*:
Phone Number*:
Catalog No.*:
Comments and Specifics(amount, formulation, etc.)*:
Validation code: Captchapackage Image


Can't read the image? click here to refresh.
    *required field

Your bulk quote request has been submitted successfully!

Please contact us if you have any questions.