• Tel: 858.663.9055
  • SeparatorEmail: info@nsjbio.com
  • Tel: 858.663.9055
  • Email: info@nsjbio.com
Home >> Antibodies >> SUZ12 Antibody

SUZ12 Antibody (RQ5598)

  Catalog No Formulation Size Price (USD)  
Image RQ5598 0.5mg/ml if reconstituted with 0.2ml sterile DI water 100 ug 439
Bulk quote request
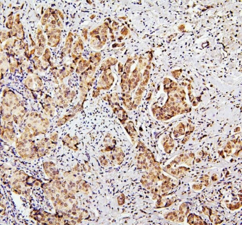
IHC staining of FFPE human breast cancer with SUZ12 antibody. HIER: boil tissue sections in pH6, 10mM citrate buffer, for 20 min and allow to cool before testing.
Immunofluorescent staining of FFPE human U-2 OS cells with SUZ12 antibody (green) and Beta Tubulin mAb (red). HIER: steam section in pH6 citrate buffer for 20 min.
Western blot testing of 1) human HL-60, 2) rat C6 and 3) mouse SP2/0 lysate with SUZ12 antibody. Expected molecular weight 83~95 kDa.
Availability 1-3 business days
Species Reactivity Human, Mouse
Format Antigen affinity purified
Clonality Polyclonal (rabbit origin)
Isotype Rabbit IgG
Purity Affinity purified
Buffer Lyophilized from 1X PBS with 2% Trehalose and 0.025% sodium azide
UniProt Q15022
Applications Western Blot : 0.25-0.5ug/ml
Immunohistochemistry (FFPE) : 1-2ug/ml
Immunofluorescence : 5ug/ml
Direct ELISA : 0.1-0.5ug/ml
Limitations This SUZ12 antibody is available for research use only.
Review this product on BioCompare and get a $20 Amazon gift card

Related Products

  • Applications : WB, ELISA
    Reactivity : Human, Mouse
  • Applications : WB, ELISA
    Reactivity : Mouse
    Pred. Reactivity : Human
  • Applications : WB, IHC, ELISA
    Reactivity : Human, Mouse
  • Applications : WB, ELISA
    Reactivity : Human, Mouse
  • Applications : IHC-P, WB
    Reactivity : Zebrafish

Description

Polycomb protein SUZ12 is a protein that in humans is encoded by the SUZ12 gene. It is mapped to 17q11.2. This zinc finger gene has been identified at the breakpoints of a recurrent chromosomal translocation reported in endometrial stromal sarcoma. Recombination of these breakpoints results in the fusion of this gene and JAZF1. The protein encoded by this gene contains a zinc finger domain in the C terminus of the coding region.

Application Notes

Optimal dilution of the SUZ12 antibody should be determined by the researcher.

Immunogen

A human recombinant protein (amino acids K72-K483) was used as the immunogen for the SUZ12 antibody.

Storage

After reconstitution, the SUZ12 antibody can be stored for up to one month at 4oC. For long-term, aliquot and store at -20oC. Avoid repeated freezing and thawing.

Cross
Bulk Quote Request Form
Name*:
Organization*:
Email*:
Phone Number*:
Catalog No.*:
Comments and Specifics(amount, formulation, etc.)*:
Validation code: Captchapackage Image


Can't read the image? click here to refresh.
    *required field

Your bulk quote request has been submitted successfully!

Please contact us if you have any questions.