• Tel: 858.663.9055
  • SeparatorEmail: info@nsjbio.com
  • Tel: 858.663.9055
  • Email: info@nsjbio.com
Home >> Antibodies >> Suz12 Antibody

Suz12 Antibody (F53232)

  Catalog No Formulation Size Price (USD)  
Image F53232-0.4ML In 1X PBS, pH 7.4, with 0.09% sodium azide 0.4 ml 429
Image
F53232-0.08ML In 1X PBS, pH 7.4, with 0.09% sodium azide 0.08 ml 199
Bulk quote request
Western blot testing of Suz12 antibody at 1:2000 dilution. Lane 1: mouse spleen lysate; 2: mouse cerebellum lysate; 3: human HeLa lysate; Observed molecular weight 83~95 kDa.
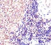
IHC testing of FFPE mouse spleen with Suz12 antibody at 1:25. HIER: steam sections in pH6 citrate buffer.
Availability 1-3 business days
Species Reactivity Human, Mouse
Format Antigen affinity purified
Clonality Polyclonal (rabbit origin)
Isotype Rabbit Ig
Purity Antigen affinity
UniProt Q80U70
Localization Nuclear
Applications Western Blot : 1:2000
IHC (FFPE) : 1:25
Limitations This Suz12 antibody is available for research use only.
Review this product on BioCompare and get a $20 Amazon gift card

Related Products

  • Applications : WB, ELISA
    Reactivity : Human, Mouse
  • Applications : WB, ELISA
    Reactivity : Mouse
    Pred. Reactivity : Human
  • Applications : WB, ELISA
    Reactivity : Human, Mouse
  • Applications : WB, IHC-P, IF, Direct ELISA
    Reactivity : Human, Mouse
  • Applications : IHC-P, WB
    Reactivity : Zebrafish

Description

Polycomb group (PcG) protein. Component of the PRC2/EED- EZH2 complex, which methylates 'Lys-9' (H3K9me) and 'Lys-27' (H3K27me) of histone H3, leading to transcriptional repression of the affected target gene. The PRC2/EED-EZH2 complex may also serve as a recruiting platform for DNA methyltransferases, thereby linking two epigenetic repression systems (By similarity). Genes repressed by the PRC2/EED-EZH2 complex include HOXA7, HOXB6 and HOXC8.

Application Notes

Titration of the Suz12 antibody may be required due to differences in protocols and secondary/substrate sensitivity.

Immunogen

This mouse Suz12 antibody was produced from a rabbit immunized with a KLH conjugated synthetic peptide between 381-395 amino acids from the Central region of mouse Suz12.

Storage

Aliquot the Suz12 antibody and store frozen at -20oC or colder. Avoid repeated freeze-thaw cycles.

Cross
Bulk Quote Request Form
Name*:
Organization*:
Email*:
Phone Number*:
Catalog No.*:
Comments and Specifics(amount, formulation, etc.)*:
Validation code: Captchapackage Image


Can't read the image? click here to refresh.
    *required field

Your bulk quote request has been submitted successfully!

Please contact us if you have any questions.