• Tel: 858.663.9055
  • SeparatorEmail: info@nsjbio.com
  • Tel: 858.663.9055
  • Email: info@nsjbio.com
Home >> Antibodies >> Survivin Antibody / BIRC5

Survivin Antibody / BIRC5 (R30154)

  Catalog No Formulation Size Price (USD)  
Image R30154 0.5mg/ml if reconstituted with 0.2ml sterile DI water 100 ug 439
Bulk quote request
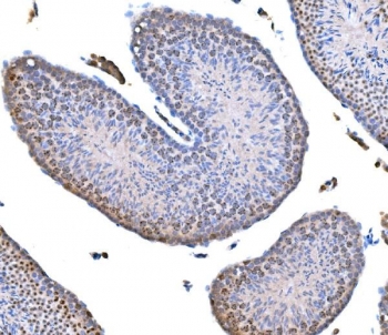
IHC staining of FFPE mouse testis tissue with Survivin antibody. HIER: boil tissue sections in pH8 EDTA for 20 min and allow to cool before testing.
Western blot testing of mouse 1) thymus, 2) SP2/0, 3) RAW264.7 and 4) ANA-1 lysate with Survivin antibody. Predicted molecular weight ~16 kDa.
Flow cytometry testing of mouse Neuro-2a cells with Survivin antibody at 1ug/million cells (blocked with goat sera); Red=cells alone, Green=isotype control, Blue= Survivin antibody.
Availability 1-3 business days
Species Reactivity Mouse
Format Antigen affinity purified
Clonality Polyclonal (rabbit origin)
Isotype Rabbit IgG
Purity Antigen affinity
Buffer Lyophilized from 1X PBS with 2% Trehalose
Gene ID 11799
Applications Western Blot : 0.5-1ug/ml
Immunohistochemistry (FFPE) : 1-2ug/ml
Flow Cytometry : 1-3ug/million cells
Limitations This Survivin antibody is available for research use only.
Review this product on BioCompare and get a $20 Amazon gift card

Related Products

Description

Survivin, also called baculoviral inhibitor of apoptosis repeat-containing 5 or BIRC5, is a protein that in humans encoded by the BIRC5 gene. Survivin is a member of the inhibitor of apoptosis (IAP) family. The survivin gene contains 4 exons. This gene is mapped to chromosome 17q25 by pulsed field gel electrophoresis and single- and 2-color FISH. The survivin protein functions as inhibitor caspase activation, thereby leading to negative regulation of apoptosis or programmed cell death. The survivin protein is expressed highly in most human tumours and fetal tissue, but is completely absent in terminally differentiated cells.

Application Notes

The stated application concentrations are suggested starting amounts. Titration of the Survivin antibody may be required due to differences in protocols and secondary/substrate sensitivity.

Immunogen

Human partial recombinant protein (AA 1-140) was used as the immunogen for this Survivin antibody.

Storage

After reconstitution, the Survivin antibody can be stored for up to one month at 4oC. For long-term, aliquot and store at -20oC. Avoid repeated freezing and thawing.

Cross
Bulk Quote Request Form
Name*:
Organization*:
Email*:
Phone Number*:
Catalog No.*:
Comments and Specifics(amount, formulation, etc.)*:
Validation code: Captchapackage Image


Can't read the image? click here to refresh.
    *required field

Your bulk quote request has been submitted successfully!

Please contact us if you have any questions.