• Tel: 858.663.9055
  • SeparatorEmail: info@nsjbio.com
  • Tel: 858.663.9055
  • Email: info@nsjbio.com
Home >> Antibodies >> SUPV3L1 Antibody

SUPV3L1 Antibody (F55042)

  Catalog No Formulation Size Price (USD)  
Image F55042-0.4ML In 1X PBS, pH 7.4, with 0.09% sodium azide 0.4 ml 429
Image
F55042-0.08ML In 1X PBS, pH 7.4, with 0.09% sodium azide 0.08 ml 199
Bulk quote request
Western blot testing of 1) human SW620, 2) human PC-3, 3) mouse kidney and 4) rat kidney lysate with SUPV3L1 antibody. Predicted molecular weight ~88 kDa.
Western blot testing of human K562 cell lysate with SUPV3L1 antibody. Predicted molecular weight ~88 kDa.
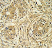
IHC testing of FFPE human prostate cancer tissue with SUPV3L1 antibody. HIER: steam section in pH6 citrate buffer for 20 min and allow to cool prior to staining.
Flow cytometry testing of human K562 cells with SUPV3L1 antibody; Blue=isotype control, Green= SUPV3L1 antibody.
Availability 1-3 business days
Species Reactivity Human, Mouse, Rat
Format Purified
Clonality Polyclonal (rabbit origin)
Isotype Rabbit Ig
Purity Antigen affinity purified
UniProt Q8IYB8
Localization Cytoplasmic, nuclear
Applications Western Blot : 1:500-1:1000
Flow Cytometry : 1:10-1:50 (1x10e6 cells)
Immunohistochemistry (FFPE) : 1:50-1:100
Limitations This SUPV3L1 antibody is available for research use only.
Review this product on BioCompare and get a $20 Amazon gift card

Description

SUV3L1 is an ATPase and DNA/RNA helicase able to unwind DNA/DNA, DNA/RNA and RNA/RNA duplexes in the 5'-3' direction. It may protect cells from apoptosis.

Application Notes

The stated application concentrations are suggested starting points. Titration of the SUPV3L1 antibody may be required due to differences in protocols and secondary/substrate sensitivity.

Immunogen

A portion of amino acids 93-121 from the human protein was used as the immunogen for the SUPV3L1 antibody.

Storage

Aliquot the SUPV3L1 antibody and store frozen at -20oC or colder. Avoid repeated freeze-thaw cycles.

Cross
Bulk Quote Request Form
Name*:
Organization*:
Email*:
Phone Number*:
Catalog No.*:
Comments and Specifics(amount, formulation, etc.)*:
Validation code: Captchapackage Image


Can't read the image? click here to refresh.
    *required field

Your bulk quote request has been submitted successfully!

Please contact us if you have any questions.