• Tel: 858.663.9055
  • SeparatorEmail: info@nsjbio.com
  • Tel: 858.663.9055
  • Email: info@nsjbio.com
Home >> Antibodies >> Superoxide dismutase 3 Antibody / Sod3

Superoxide dismutase 3 Antibody / Sod3 (RQ6518)

  Catalog No Formulation Size Price (USD)  
Image RQ6518 0.5mg/ml if reconstituted with 0.2ml sterile DI water 100 ug 439
Bulk quote request
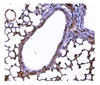
IHC staining of FFPE mouse lung tissue with Superoxide dismutase 3 antibody. HIER: boil tissue sections in pH8 EDTA for 20 min and allow to cool before testing.
Western blot testing of 1) mouse lung and 2) mouse kidney tissue lysate with Superoxide dismutase 3 antibody. Predicted molecular weight: 26~32 kDa.
Flow cytometry testing of mouse HEPA1-6 cells with Superoxide dismutase 3 antibody at 1ug/million cells (blocked with goat sera); Red=cells alone, Green=isotype control, Blue= Superoxide dismutase 3 antibody.
Availability 1-3 business days
Species Reactivity Mouse
Format Antigen affinity purified
Clonality Polyclonal (rabbit origin)
Isotype Rabbit IgG
Purity Affinity purified
Buffer Lyophilized from 1X PBS with 2% Trehalose
UniProt O09164
Localization Cytoplasmic, secreted
Applications Western Blot : 1-2ug/ml
Immunohistochemistry (FFPE) : 2-5ug/ml
Flow Cytometry : 1-3ug/million cells
Direct ELISA : 0.1-0.5ug/ml
Limitations This Superoxide dismutase 3 antibody is available for research use only.
Review this product on BioCompare and get a $20 Amazon gift card

Related Products

Description

SOD3 (SUPEROXIDE DISMUTASE 3), also called SUPEROXIDE DISMUTASE, EXTRACELLULAR, EC-SOD, and Cu-Zn, is an enzyme that in humans is encoded by the SOD3 gene. This gene encodes a member of the superoxide dismutase (SOD) protein family. SODs are antioxidant enzymes that catalyze the dismutation of two superoxide radicals into hydrogen peroxide and oxygen. Hendrickson et al. (1990) mapped the SOD3 gene to 4pter-q21 by a study of somatic cell hybrids. Stern et al. (2003) narrowed the assignment to 4p15.3-p15.1 by somatic cell and radiation hybrid analysis, linkage mapping, and FISH. The product of this gene is thought to protect the brain, lungs, and other tissues from oxidative stress. The protein is secreted into the extracellular space and forms a glycosylated homotetramer that is anchored to the extracellular matrix (ECM) and cell surfaces through an interaction with heparan sulfate proteoglycan and collagen. A fraction of the protein is cleaved near the C-terminus before secretion to generate circulating tetramers that do not interact with the ECM.

Application Notes

Optimal dilution of the Superoxide dismutase 3 antibody should be determined by the researcher.

Immunogen

An E. coli-derived mouse protein (amino acids V36-L101) was used as the immunogen for the Superoxide dismutase 3 antibody.

Storage

After reconstitution, the Superoxide dismutase 3 antibody can be stored for up to one month at 4oC. For long-term, aliquot and store at -20oC. Avoid repeated freezing and thawing.

Cross
Bulk Quote Request Form
Name*:
Organization*:
Email*:
Phone Number*:
Catalog No.*:
Comments and Specifics(amount, formulation, etc.)*:
Validation code: Captchapackage Image


Can't read the image? click here to refresh.
    *required field

Your bulk quote request has been submitted successfully!

Please contact us if you have any questions.