• Tel: 858.663.9055
  • SeparatorEmail: info@nsjbio.com
  • Tel: 858.663.9055
  • Email: info@nsjbio.com
Home >> Antibodies >> Superoxide Dismutase 2 Antibody / SOD2

Superoxide Dismutase 2 Antibody / SOD2 [clone 2B12B1] (RQ7037)

  Catalog No Formulation Size Price (USD)  
Image RQ7037 0.5mg/ml if reconstituted with 0.2ml sterile DI water 100 ug 439
Bulk quote request
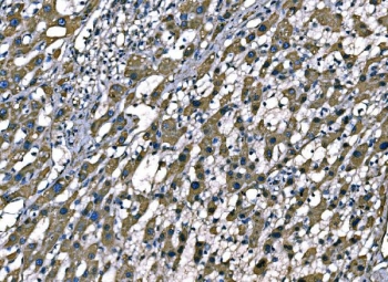
IHC staining of FFPE human liver cancer tissue with Superoxide Dismutase 2 antibody. HIER: boil tissue sections in pH8 EDTA for 20 min and allow to cool before testing.
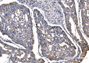
IHC staining of FFPE human adenocarcinoma of the right colon tissue with Superoxide Dismutase 2 antibody. HIER: boil tissue sections in pH8 EDTA for 20 min and allow to cool before testing.
IHC staining of FFPE human lymphoma tissue with Superoxide Dismutase 2 antibody. HIER: boil tissue sections in pH8 EDTA for 20 min and allow to cool before testing.
Western blot testing of 1) human HepG2, 2) human HCCT, 3) human HCCP, 4) mouse liver and 5) mouse heart tissue lysate with Superoxide Dismutase 2 antibody. Predicted molecular weight ~25 kDa.
Availability 1-3 business days
Species Reactivity Human, Mouse
Format Antigen affinity purified
Clonality Monoclonal (mouse origin)
Isotype Mouse IgG2b
Clone Name 2B12B1
Purity Antigen affinity purified
Buffer Lyophilized from 1X PBS with 2% Trehalose
UniProt P04179
Localization Cytoplasmic
Applications Western Blot : 0.5-1 ug/ml
Immunohistochemistry (FFPE) : 2-5ug/ml
Limitations This Superoxide Dismutase 2 antibody is available for research use only.
Review this product on BioCompare and get a $20 Amazon gift card

Related Products

Description

SOD2 (Superoxide Dismutase 2), also called IPO-B or MNSOD, is a mitochondrial matrix enzyme that scavenges oxygen radicals produced by the extensive oxidation-reduction and electron transport reactions occurring in mitochondria. This gene is a member of the iron/manganese superoxide dismutase family. Using a somatic cell hybrid panel containing different segments of chromosome 6, they demonstrated that SOD2 is located in the region 6q25.3-qter which, together with the FISH analysis, indicated that SOD2 is in the distal portion of 6q25. The SOD2 gene encodes an intramitochondrial free radical scavenging enzyme that is the first line of defense against superoxide produced as a byproduct of oxidative phosphorylation. Adeno-associated viral delivery of the human SOD2 gene resulted in suppression of optic nerve degeneration and rescue of retinal ganglion cells. The findings suggested that reactive oxygen species contributed to retinal cell death and optic nerve damage in mice with complex I deficiency, and that expression of SOD2 attenuated the disease process.

Application Notes

Optimal dilution of the Superoxide Dismutase 2 antibody should be determined by the researcher.

Immunogen

C-terminal amino acids QYKNVRPDYLKAIWNVINWENVTERYMACKK were used as the immunogen for the Superoxide Dismutase 2 antibody.

Storage

After reconstitution, the Superoxide Dismutase 2 antibody can be stored for up to one month at 4oC. For long-term, aliquot and store at -20oC. Avoid repeated freezing and thawing.

Cross
Bulk Quote Request Form
Name*:
Organization*:
Email*:
Phone Number*:
Catalog No.*:
Comments and Specifics(amount, formulation, etc.)*:
Validation code: Captchapackage Image


Can't read the image? click here to refresh.
    *required field

Your bulk quote request has been submitted successfully!

Please contact us if you have any questions.