• Tel: 858.663.9055
  • SeparatorEmail: info@nsjbio.com
  • Tel: 858.663.9055
  • Email: info@nsjbio.com
Home >> Antibodies >> SUMO-activating enzyme subunit 1 Antibody / SAE1

SUMO-activating enzyme subunit 1 Antibody / SAE1 (F54771)

  Catalog No Formulation Size Price (USD)  
Image F54771-0.4ML In 1X PBS, pH 7.4, with 0.09% sodium azide 0.4 ml 429
Image
F54771-0.08ML In 1X PBS, pH 7.4, with 0.09% sodium azide 0.08 ml 199
Bulk quote request
Western blot testing of human HEK293 cell lysate with SUMO-activating enzyme subunit 1 antibody. Predicted molecular weight ~38 kDa.
Western blot testing of mouse heart tissue lysate with SUMO-activating enzyme subunit 1 antibody. Predicted molecular weight ~38 kDa.
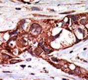
IHC testing of FFPE human breast cancer tissue with SUMO-activating enzyme subunit 1 antibody. HIER: steam section in pH6 citrate buffer for 20 min and allow to cool prior to staining.
Availability 1-3 business days
Species Reactivity Human, Mouse
Format Purified
Clonality Polyclonal (rabbit origin)
Isotype Rabbit Ig
Purity Antigen affinity purified
UniProt Q9UBE0
Localization Nuclear, cytoplasmic
Applications Western Blot : 1:500-1:1000
Immunohistochemistry (FFPE) : 1:25
Limitations This SUMO-activating enzyme subunit 1 antibody is available for research use only.
Review this product on BioCompare and get a $20 Amazon gift card

Related Products

Description

The dimeric enzyme AOS1 acts as a an E1 ligase for SUMO1, SUMO2, SUMO3, and probably SUMO4. It mediates ATP-dependent activation of SUMO proteins and formation of a thioester with a conserved cysteine residue on SAE2.

Application Notes

The stated application concentrations are suggested starting points. Titration of the SUMO-activating enzyme subunit 1 antibody may be required due to differences in protocols and secondary/substrate sensitivity.

Immunogen

A portion of amino acids 300-329 from the human protein was used as the immunogen for the SUMO-activating enzyme subunit 1 antibody.

Storage

Aliquot the SUMO-activating enzyme subunit 1 antibody and store frozen at -20oC or colder. Avoid repeated freeze-thaw cycles.

Cross
Bulk Quote Request Form
Name*:
Organization*:
Email*:
Phone Number*:
Catalog No.*:
Comments and Specifics(amount, formulation, etc.)*:
Validation code: Captchapackage Image


Can't read the image? click here to refresh.
    *required field

Your bulk quote request has been submitted successfully!

Please contact us if you have any questions.