• Tel: 858.663.9055
  • SeparatorEmail: info@nsjbio.com
  • Tel: 858.663.9055
  • Email: info@nsjbio.com
Home >> Antibodies >> SULT1E1 Antibody / Estrogen Sulfotransferase

SULT1E1 Antibody / Estrogen Sulfotransferase [clone CPTC-SULT1E1-1] (V7520)

  Catalog No Formulation Size Price (USD)  
Image V7520-100UG 0.2 mg/ml in 1X PBS with 0.1 mg/ml BSA (US sourced) and 0.05% sodium azide 100 ug 539
Image
V7520-20UG 0.2 mg/ml in 1X PBS with 0.1 mg/ml BSA (US sourced) and 0.05% sodium azide 20 ug 249
Image
V7520SAF-100UG 1 mg/ml in 1X PBS; BSA free, sodium azide free 100 ug 539
Image
V7520IHC-7ML Prediluted in 1X PBS with 0.1 mg/ml BSA (US sourced) and 0.05% sodium azide; *For IHC use only* 7 ml 539
Bulk quote request
Western blot testing of human liver lysate with SULT1E1 antibody (clone CPTC-SULT1E1-1). Expected molecular weight ~33-35 kDa.
IHC staining of FFPE human small intestine with SULT1E1 antibody. Required HIER: boil tissue sections in pH6, 10mM citrate buffer, for 10-20 min followed by cooling at RT for 20 min.
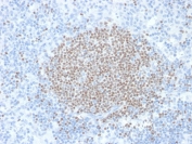
IHC staining of FFPE human lymph node with SULT1E1 antibody. Required HIER: boil tissue sections in pH6, 10mM citrate buffer, for 10-20 min followed by cooling at RT for 20 min.
Availability 1-3 business days
Species Reactivity Human
Format Purified
Clonality Monoclonal (mouse origin)
Isotype Mouse IgG2b
Clone Name CPTC-SULT1E1-1
Purity Protein G affinity chromatography
UniProt P49888
Localization Cytoplasmic, nuclear membrane
Applications Immunohistochemistry (FFPE) : 0.5-1ug/ml for 30 min at RT
Western Blot : 1-2ug/ml
Limitations This SULT1E1 antibody is available for research use only.
Review this product on BioCompare and get a $20 Amazon gift card

Related Products

Description

The soluble sulfotransferases contribute to the elimination of xenobiotics, the activation of procarcinogens and the regulation of hormones by catalyzing the sulfate conjugation of these substances. SULT1E1, also known as STE, is a 294 amino acid member of the SULT1 family. Localized to the cytoplasm and expressed in intestine, liver and kidney, SULT1E1 exists as a homodimer that is thought to control estrogen receptor (ER) levels by sulfurylating free estradiol. Defects in the gene encoding SULT1E1 are associated with an increased risk for endometrial cancer, suggesting a role for SULT1E1 in tumorigenesis.

Application Notes

Optimal dilution of the SULT1E1 antibody should be determined by the researcher.

1. The prediluted format is supplied in a dropper bottle and is optimized for use in IHC. After epitope retrieval step (if required), drip mAb solution onto the tissue section and incubate at RT for 30 min.

Immunogen

Recombinant human protein was used as the immunogen for the SULT1E1 antibody.

Storage

Store the SULT1E1 antibody at 2-8oC (with azide) or aliquot and store at -20oC or colder (without azide).

Cross
Bulk Quote Request Form
Name*:
Organization*:
Email*:
Phone Number*:
Catalog No.*:
Comments and Specifics(amount, formulation, etc.)*:
Validation code: Captchapackage Image


Can't read the image? click here to refresh.
    *required field

Your bulk quote request has been submitted successfully!

Please contact us if you have any questions.