• Tel: 858.663.9055
  • SeparatorEmail: info@nsjbio.com
  • Tel: 858.663.9055
  • Email: info@nsjbio.com
Home >> Antibodies >> STXBP4 Antibody / Syntaxin-binding protein 4

STXBP4 Antibody / Syntaxin-binding protein 4 (RQ8939)

  Catalog No Formulation Size Price (USD)  
Image RQ8939 0.5mg/ml if reconstituted with 0.2ml sterile DI water 100 ug 439
Bulk quote request
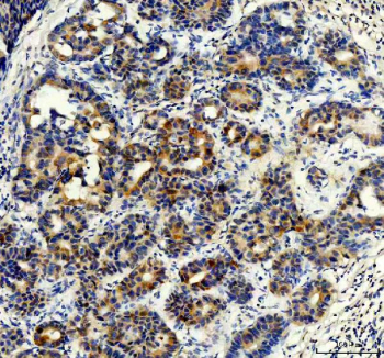
IHC staining of FFPE human breast cancer tissue with STXBP4 antibody, HRP-secondary and DAB substrate. HIER: boil tissue sections in pH8 EDTA for 20 min and allow to cool before testing.
IHC staining of FFPE human thyroid cancer tissue with STXBP4 antibody, HRP-secondary and DAB substrate. HIER: boil tissue sections in pH8 EDTA for 20 min and allow to cool before testing.
Western blot testing of human 1) PC-3, 2) HepG2 and 3) A549 cell lysate with STXBP4 antibody. Predicted molecular weight ~62 kDa.
Flow cytometry testing of fixed and permeabilized human HepG2 cells with STXBP4 antibody at 1ug/million cells (blocked with goat sera); Red=cells alone, Green=isotype control, Blue= STXBP4 antibody.
Availability 1-2 days
Species Reactivity Human
Format Purified
Clonality Polyclonal (rabbit origin)
Isotype Rabbit IgG
Purity Affinity purified
UniProt Q6ZWJ1
Localization Cytoplasm
Applications Western Blot : 1-2ug/ml
Immunohistochemistry (FFPE) : 2-5ug/ml
ELISA : 0.1-0.5ug/ml
Flow Cytometry : 1-3ug/million cells
Limitations This STXBP4 antibody is available for research use only.
Review this product on BioCompare and get a $20 Amazon gift card

Description

STXBP4 antibody is used in research to study cellular trafficking and membrane dynamics. The encoded protein, syntaxin-binding protein 4, belongs to the Sec1/Munc18 family, which plays an essential role in the regulation of SNARE-mediated vesicle fusion. STXBP4 interacts with syntaxins to control the docking and fusion of vesicles with target membranes, a process fundamental to intracellular transport, receptor recycling, and signal transduction. Through its role in vesicular trafficking, STXBP4 contributes to the maintenance of cellular polarity, nutrient uptake, and receptor turnover.

STXBP4 is particularly significant in processes related to glucose metabolism. It has been shown to regulate the trafficking of the glucose transporter GLUT4 to the plasma membrane in muscle and adipose tissue. This regulation is critical for insulin-stimulated glucose uptake, linking STXBP4 directly to metabolic homeostasis. Alterations in its expression or activity have been connected to insulin resistance and type 2 diabetes, making it an important subject of investigation in metabolic disease research. Beyond glucose regulation, STXBP4 participates in broader endocytic and exocytic pathways that influence receptor signaling and cellular communication.

Studies suggest that STXBP4 may also contribute to cancer biology. Dysregulated expression has been observed in certain tumor types, where altered vesicle trafficking can affect growth factor signaling and proliferation. Research is ongoing to determine whether STXBP4 serves as a biomarker for cancer progression or a potential therapeutic target. Its involvement in vesicle-mediated signaling suggests that it may influence multiple pathways central to tumor growth and survival.

At the molecular level, STXBP4 is characterized by conserved domains that enable binding to syntaxins and interaction with SNARE complexes. This interaction stabilizes vesicle docking and coordinates the timing of fusion events. Experimental models demonstrate that modulation of STXBP4 can alter the efficiency of GLUT4 vesicle fusion, highlighting its central role in metabolic regulation. Antibody-based approaches are frequently used to assess protein levels, localization, and interactions within these pathways.

The STXBP4 antibody is widely applied in techniques such as western blotting, immunohistochemistry, immunofluorescence, and flow cytometry. These applications allow scientists to investigate expression across tissues, examine subcellular distribution, and evaluate changes in disease states. When used alongside functional assays, STXBP4 detection provides valuable insight into vesicle trafficking and its consequences for metabolism and signaling. For investigators examining insulin action, metabolic disorders, or vesicular transport, the STXBP4 antibody is a reliable and versatile research tool. NSJ Bioreagents offers carefully validated antibodies to ensure reproducibility and accuracy in advanced scientific studies.

Application Notes

Optimal dilution of the STXBP4 antibody should be determined by the researcher.

Immunogen

Amino acids D57-E481 from the human protein were used as the immunogen for the STXBP4 antibody.

Storage

After reconstitution, the STXBP4 antibody can be stored for up to one month at 4oC. For long-term, aliquot and store at -20oC. Avoid repeated freezing and thawing.

Cross
Bulk Quote Request Form
Name*:
Organization*:
Email*:
Phone Number*:
Catalog No.*:
Comments and Specifics(amount, formulation, etc.)*:
Validation code: Captchapackage Image


Can't read the image? click here to refresh.
    *required field

Your bulk quote request has been submitted successfully!

Please contact us if you have any questions.