• Tel: 858.663.9055
  • SeparatorEmail: info@nsjbio.com
  • Tel: 858.663.9055
  • Email: info@nsjbio.com
Home >> Antibodies >> STX6 Antibody / Syntaxin 6

STX6 Antibody / Syntaxin 6 (RQ7806)

  Catalog No Formulation Size Price (USD)  
Image RQ7806 0.5mg/ml if reconstituted with 0.2ml sterile DI water 100 ug 439
Bulk quote request
Flow cytometry testing of human U-2 OS cells with STX6 antibody at 1ug/million cells (blocked with goat sera); Red=cells alone, Green=isotype control, Blue= STX6 antibody.
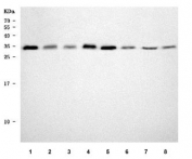
Western blot testing of 1) human RT4, 2) human HaCaT, 3) human SH-SY5Y, 4) human T-47D, 5) rat brain, 6) rat PC-12, 7) mouse brain and 8) mouse Neuro-2a cell lysate with STX6 antibody. Predicted molecular weight ~29 kDa.
Availability 1-3 business days
Species Reactivity Human, Mouse, Rat
Format Antigen affinity purified
Clonality Polyclonal (rabbit origin)
Isotype Rabbit IgG
Purity Antigen affinity purified
Buffer Lyophilized from 1X PBS with 2% Trehalose
UniProt O43752
Localization Cytoplasmic, nuclear
Applications Western Blot : 0.5-1ug/ml
Flow Cytometry : 1-3ug/million cells
Direct ELISA : 0.1-0.5ug/ml
Limitations This STX6 antibody is available for research use only.
Review this product on BioCompare and get a $20 Amazon gift card

Related Products

  • Applications : WB, ELISA (peptide)
    Reactivity : Human
    Pred. Reactivity : Dog, Mouse, Rat

Description

Syntaxin-6 is a protein that in humans is encoded by the STX6 gene. Enables syntaxin binding activity. Involved in several processes, including Golgi ribbon formation; retrograde transport, endosome to Golgi; and vesicle fusion. Acts upstream of or within endocytic recycling. Located in several cellular components, including early endosome; perinuclear region of cytoplasm; and trans-Golgi network. Part of SNARE complex.

Application Notes

Optimal dilution of the STX6 antibody should be determined by the researcher.

Immunogen

E. coli-derived recombinant human protein (amino acids M1-A239) was used as the immunogen for the STX6 antibody.

Storage

After reconstitution, the STX6 antibody can be stored for up to one month at 4oC. For long-term, aliquot and store at -20oC. Avoid repeated freezing and thawing.

Cross
Bulk Quote Request Form
Name*:
Organization*:
Email*:
Phone Number*:
Catalog No.*:
Comments and Specifics(amount, formulation, etc.)*:
Validation code: Captchapackage Image


Can't read the image? click here to refresh.
    *required field

Your bulk quote request has been submitted successfully!

Please contact us if you have any questions.