• Tel: 858.663.9055
  • SeparatorEmail: info@nsjbio.com
  • Tel: 858.663.9055
  • Email: info@nsjbio.com
Home >> Antibodies >> STOML2 Antibody / Stomatin-like protein 2

STOML2 Antibody / Stomatin-like protein 2 (FY12028)

  Catalog No Formulation Size Price (USD)  
Image FY12028 Adding 0.2 ml of distilled water will yield a concentration of 500 ug/ml 100 ug 439
Bulk quote request
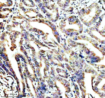
IHC staining of STOML2 using anti-STOML2 antibody. STOML2 was detected in a paraffin-embedded section of human colon cancer tissue. Heat mediated antigen retrieval was performed in EDTA buffer (pH 8.0, epitope retrieval solution). The tissue section was blocked with 10% goat serum. The tissue section was then incubated with 2 ug/ml rabbit anti-STOML2 antibody overnight at 4oC. Peroxidase Conjugated Goat Anti-rabbit IgG was used as secondary antibody and incubated for 30 minutes at 37oC. The tissue section was developed using an HRP secondary and DAB substrate.
Western blot analysis of STOML2 using anti-STOML2 antibody. Electrophoresis was performed on a 10% SDS-PAGE gel at 80V (Stacking gel) / 120V (Resolving gel) for 2 hours. Lane 1: human 293T whole cell lysates, Lane 2: human Hela whole cell lysates, Lane 3: human Jurkat whole cell lysates, Lane 4: human MCF-7 whole cell lysates, Lane 5: rat brain tissue lysates, Lane 6: rat C6 whole cell lysates, Lane 7: mouse brain tissue lysates, Lane 8: mouse NIH/3T3 whole cell lysates. After electrophoresis, proteins were transferred to a nitrocellulose membrane at 150 mA for 50-90 minutes. Blocked the membrane with 5% non-fat milk/TBS for 1.5 hour at RT. The membrane was incubated with rabbit anti-STOML2 antibody at 0.5 ug/ml overnight at 4oC, then washed with TBS-0.1%Tween 3 times with 5 minutes each and probed with a goat anti-rabbit IgG-HRP secondary antibody at a dilution of 1:5000 for 1.5 hour at RT. The signal was developed using an ECL Plus Western Blotting Substrate. The expected band size for STOML2 is at 39 kDa.
Immunoprecipitating STOML2 in Jurkat whole cell lysate. Western blot analysis of STOML2 using anti-STOML2 antibody. Lane 1: jurkat whole cell lysates (30ug), Lane 2: Rabbit control IgG instead of anti-STOML2 antibody in jurkat whole cell lysate, Lane 3: anti-STOML2 antibody (2ug) + jurkat whole cell lysate (500ug). After electrophoresis, proteins were transferred to a membrane. Then the membrane was incubated with rabbit anti-STOML2 antibody at a dilution of 0.5 ug/ml and probed with a goat anti-rabbit IgG-HRP secondary antibody. The signal is developed using ECL Plus Western Blotting Substrate. The expected band size for STOML2 is at 39 kDa.
Flow Cytometry analysis of Jurkat cells using anti-STOML2 antibody. Overlay histogram showing Jurkat cells stained with (Blue line). The cells were fixed with 4% paraformaldehyde and blocked with 10% normal goat serum. And then incubated with rabbit anti-STOML2 antibody (1 ug/million cells) for 30 min at 20oC. DyLight 488 conjugated goat anti-rabbit IgG (5-10 ug/million cells) was used as secondary antibody for 30 minutes at 20oC. Isotype control antibody (Green line) was rabbit IgG (1 ug/million cells) used under the same conditions. Unlabelled sample without incubation with primary antibody and secondary antibody (Red line) was used as a blank control.
Availability 1-2 days
Species Reactivity Human, Mouse, Rat
Format Lyophilized
Clonality Polyclonal (rabbit origin)
Isotype Rabbit IgG
Purity Immunogen affinity purified
Buffer Each vial contains 4 mg Trehalose, 0.9 mg NaCl, 0.2 mg Na2HPO4.
UniProt Q9UJZ1
Localization Cytoplasm, cell membrane
Applications Western Blot : 0.25-0.5ug/ml
Immunohistochemistry : 2-5ug/ml
Immunoprecipitation : 2-4ug/500ug of lysate
Flow Cytometry : 1-3ug/million cells
ELISA : 0.1-0.5ug/ml
Limitations This STOML2 antibody is available for research use only.
Review this product on BioCompare and get a $20 Amazon gift card

Related Products

Description

STOML2 antibody detects Stomatin-like protein 2, encoded by the STOML2 gene. Stomatin-like protein 2 is a mitochondrial inner membrane protein involved in mitochondrial organization, respiratory chain activity, and apoptosis regulation. STOML2 antibody provides researchers with a specific reagent for studying mitochondrial function, metabolic regulation, and cell death pathways.

Stomatin-like protein 2 belongs to the stomatin family of membrane-associated proteins, which share a conserved stomatin domain. Research using STOML2 antibody has shown that it localizes to mitochondria, where it regulates the stability of respiratory chain complexes. By supporting the assembly of complex I and complex IV, STOML2 ensures efficient oxidative phosphorylation and ATP production.

Studies with STOML2 antibody have revealed that it also participates in apoptosis regulation. Overexpression of Stomatin-like protein 2 enhances resistance to apoptotic stimuli, while depletion sensitizes cells to cell death. This suggests that STOML2 balances mitochondrial function with survival pathways, making it an important regulator of cellular fate under stress conditions.

Dysregulation of STOML2 expression has been linked to cancer. Research using STOML2 antibody has demonstrated that elevated expression supports tumor cell survival, proliferation, and migration by maintaining mitochondrial energy metabolism. High STOML2 expression correlates with poor prognosis in several cancers, including breast and gastric cancer. These findings emphasize its potential as a biomarker and therapeutic target.

Stomatin-like protein 2 also contributes to immune function. Studies with STOML2 antibody have suggested that it regulates T cell activation and cytokine production by influencing mitochondrial metabolism. This highlights its role in integrating energy metabolism with immune responses, broadening its functional relevance.

STOML2 antibody is widely applied in western blotting, immunohistochemistry, and immunofluorescence. Western blotting quantifies mitochondrial protein expression, immunohistochemistry demonstrates expression in tissues with high energy demand, and immunofluorescence highlights colocalization with mitochondrial markers. These applications make STOML2 antibody indispensable for mitochondrial research.

By providing validated STOML2 antibody reagents, NSJ Bioreagents supports studies into mitochondrial biology, metabolism, and cancer. Detection of Stomatin-like protein 2 provides researchers with insight into how mitochondrial proteins regulate bioenergetics and cell survival.

Application Notes

Optimal dilution of the STOML2 antibody should be determined by the researcher.

Immunogen

E.coli-derived human STOML2 recombinant protein (Position: Q43-S293) was used as the immunogen for the STOML2 antibody.

Storage

After reconstitution, the STOML2 antibody can be stored for up to one month at 4oC. For long-term, aliquot and store at -20oC. Avoid repeated freezing and thawing.

Cross
Bulk Quote Request Form
Name*:
Organization*:
Email*:
Phone Number*:
Catalog No.*:
Comments and Specifics(amount, formulation, etc.)*:
Validation code: Captchapackage Image


Can't read the image? click here to refresh.
    *required field

Your bulk quote request has been submitted successfully!

Please contact us if you have any questions.