• Tel: 858.663.9055
  • SeparatorEmail: info@nsjbio.com
  • Tel: 858.663.9055
  • Email: info@nsjbio.com
Home >> Antibodies >> Stomatin Antibody

Stomatin Antibody (R33847)

  Catalog No Formulation Size Price (USD)  
Image R33847-100UG 0.5 mg/ml in 1X TBS, pH7.3, with 0.5% BSA (US sourced) and 0.02% sodium azide 100 ug 449
Bulk quote request
Western blot testing of human lung lysate with Stomatin antibody at 0.1ug/ml. Predicted molecular weight: ~32kDa.
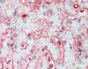
IHC staining of FFPE human liver with Stomatin antibody at 5ug/ml. HIER: steamed with pH6 citrate buffer, AP-staining.
Availability 1-3 business days
Species Reactivity Human
Format Antigen affinity purified
Clonality Polyclonal (goat origin)
Isotype Goat Ig
Purity Antigen affinity
Gene ID 2040
Applications Western Blot : 0.1-0.3ug/ml
Immunohistochemistry (FFPE) : 5-10ug/ml
ELISA (peptide) LOD : 1:128000
Limitations This Stomatin antibody is available for research use only.
Review this product on BioCompare and get a $20 Amazon gift card

Description

Additional name(s) for this target protein: STOM; BND7; EPB7; EPB72; erythrocyte band 7 integral membrane protein

Application Notes

Optimal dilution of the Stomatin antibody should be determined by the researcher.

Immunogen

Amino acids EKRHTRDSEAQR were used as the immunogen for this Stomatin antibody.

Storage

Aliquot and store the Stomatin antibody at -20oC.

Cross
Bulk Quote Request Form
Name*:
Organization*:
Email*:
Phone Number*:
Catalog No.*:
Comments and Specifics(amount, formulation, etc.)*:
Validation code: Captchapackage Image


Can't read the image? click here to refresh.
    *required field

Your bulk quote request has been submitted successfully!

Please contact us if you have any questions.