• Tel: 858.663.9055
  • SeparatorEmail: info@nsjbio.com
  • Tel: 858.663.9055
  • Email: info@nsjbio.com
Home >> Antibodies >> STMN2 Antibody / SCG10

STMN2 Antibody / SCG10 (F54395)

  Catalog No Formulation Size Price (USD)  
Image F54395-0.4ML In 1X PBS, pH 7.4, with 0.09% sodium azide 0.4 ml 429
Image
F54395-0.08ML In 1X PBS, pH 7.4, with 0.09% sodium azide 0.08 ml 199
Bulk quote request
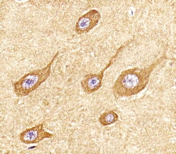
IHC testing of FFPE human brain tissue with STMN2 antibody. HIER: steam section in pH6 citrate buffer for 20 min and allow to cool prior to staining.
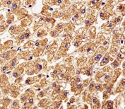
IHC testing of FFPE human liver tissue with STMN2 antibody. HIER: steam section in pH6 citrate buffer for 20 min and allow to cool prior to staining.
Immunofluorescent staining of fixed and permeabilized human SH-SY5Y cells with STMN2 antibody (green) and anti-Actin (red).
Western blot testing of 1) human brain, 2) mouse brain and 3) SH-SY5Y lysate with STMN2 antibody. Predicted molecular weight ~21 kDa.
Flow cytometry testing of fixed and permeabilized human SH-SY5Y cells with STMN2 antibody; Blue=isotype control, Green= STMN2 antibody.
Availability 1-3 business days
Species Reactivity Human, Mouse
Format Purified
Clonality Polyclonal (rabbit origin)
Isotype Rabbit Ig
Purity Antigen affinity purified
UniProt Q93045
Localization Cytoplasmic
Applications Western Blot : 1:500-1:2000
Immunohistochemistry (FFPE) : 1:25
Immunofluorescence : 1:25
Flow Cytometry : 1:25 (1x10e6 cells)
Limitations This STMN2 antibody is available for research use only.
Review this product on BioCompare and get a $20 Amazon gift card

Related Products

  • Applications : WB, ELISA (peptide)
    Reactivity : Mouse
    Pred. Reactivity : Cow, Dog, Human, Rat
  • Applications : WB, IHC-P, IF, FACS, Direct ELISA
    Reactivity : Human, Mouse, Rat

Description

Regulator of microtubule stability. When phosphorylated by MAPK8, stabilizes microtubules and consequently controls neurite length in cortical neurons. In the developing brain, negatively regulates the rate of exit from multipolar stage and retards radial migration from the ventricular zone (By similarity).

Application Notes

The stated application concentrations are suggested starting points. Titration of the STMN2 antibody may be required due to differences in protocols and secondary/substrate sensitivity.

Immunogen

A portion of amino acids 82-116 from the human protein was used as the immunogen for the STMN2 antibody.

Storage

Aliquot the STMN2 antibody and store frozen at -20oC or colder. Avoid repeated freeze-thaw cycles.

Cross
Bulk Quote Request Form
Name*:
Organization*:
Email*:
Phone Number*:
Catalog No.*:
Comments and Specifics(amount, formulation, etc.)*:
Validation code: Captchapackage Image


Can't read the image? click here to refresh.
    *required field

Your bulk quote request has been submitted successfully!

Please contact us if you have any questions.