• Tel: 858.663.9055
  • SeparatorEmail: info@nsjbio.com
  • Tel: 858.663.9055
  • Email: info@nsjbio.com
Home >> Antibodies >> STK24 Antibody / Serine/threonine-protein kinase 24 / MST-3

STK24 Antibody / Serine/threonine-protein kinase 24 / MST-3 (RQ7343)

  Catalog No Formulation Size Price (USD)  
Image RQ7343 0.5mg/ml if reconstituted with 0.2ml sterile DI water 100 ug 439
Bulk quote request
Western blot testing of 1) rat stomach, 2) rat testis, 3) rat brain, 4) mouse stomach, 5) mouse small intestine, 6) mouse testis and 7) mouse brain tissue lysate with STK24 antibody. Predicted molecular weight ~49 kDa.
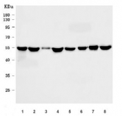
Western blot testing of human 1) A431, 2) HeLa, 3) Raji, 4) U-87 MG, 5) 293T, 6) placenta, 7) Caco-2 and 8) RT4 cell lysate with STK24 antibody. Predicted molecular weight ~49 kDa.
IHC staining of FFPE mouse brain tissue with STK24 antibody. HIER: boil tissue sections in pH8 EDTA for 20 min and allow to cool before testing.
IHC staining of FFPE rat brain tissue with STK24 antibody. HIER: boil tissue sections in pH8 EDTA for 20 min and allow to cool before testing.
Flow cytometry testing of human U-251 cells with STK24 antibody at 1ug/million cells (blocked with goat sera); Red=cells alone, Green=isotype control, Blue= STK24 antibody.
Availability 1-3 business days
Species Reactivity Human, Mouse, Rat
Format Antigen affinity purified
Clonality Polyclonal (rabbit origin)
Isotype Rabbit IgG
Purity Antigen affinity purified
Buffer Lyophilized from 1X PBS with 2% Trehalose
UniProt Q9Y6E0
Applications Western Blot : 0.5-1ug/ml
Immunohistochemistry (FFPE) : 2-5ug/ml
Flow Cytometry : 1-3ug/million cells
Direct ELISA : 0.1-0.5ug/ml
Limitations This STK24 antibody is available for research use only.
Review this product on BioCompare and get a $20 Amazon gift card

Description

Serine/threonine-protein kinase 24 (STK24), also called Mammalian STE20-like protein kinase 3 (MST-3) is an enzyme that acts on both serine and threonine residues and promotes apoptosis in response to stress stimuli and caspase activation.

Application Notes

Optimal dilution of the STK24 antibody should be determined by the researcher.

Immunogen

Recombinant human protein (amino acids M1-Y433) was used as the immunogen for the STK24 antibody.

Storage

After reconstitution, the STK24 antibody can be stored for up to one month at 4oC. For long-term, aliquot and store at -20oC. Avoid repeated freezing and thawing.

Cross
Bulk Quote Request Form
Name*:
Organization*:
Email*:
Phone Number*:
Catalog No.*:
Comments and Specifics(amount, formulation, etc.)*:
Validation code: Captchapackage Image


Can't read the image? click here to refresh.
    *required field

Your bulk quote request has been submitted successfully!

Please contact us if you have any questions.