• Tel: 858.663.9055
  • SeparatorEmail: info@nsjbio.com
  • Tel: 858.663.9055
  • Email: info@nsjbio.com
Home >> Antibodies >> STK15 Antibody / Serine/threonine-protein kinase 15 / AURKA

STK15 Antibody / Serine/threonine-protein kinase 15 / AURKA (RQ7272)

  Catalog No Formulation Size Price (USD)  
Image RQ7272 0.5mg/ml if reconstituted with 0.2ml sterile DI water 100 ug 439
Bulk quote request
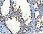
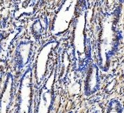
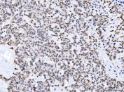
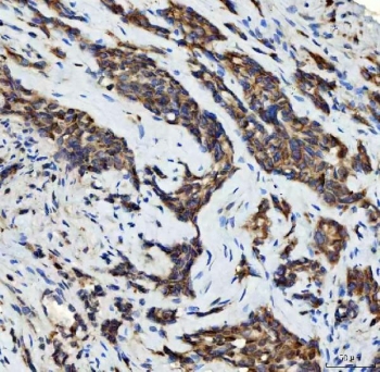
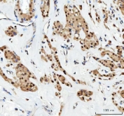
IHC staining of FFPE human lung adenocarcinoma tissue with STK15 antibody. HIER: boil tissue sections in pH8 EDTA for 20 min and allow to cool before testing.
IHC staining of FFPE human ovarian cancer tissue with STK15 antibody. HIER: boil tissue sections in pH8 EDTA for 20 min and allow to cool before testing.
IHC staining of FFPE human squamous cell carcinoma tissue with STK15 antibody. HIER: boil tissue sections in pH8 EDTA for 20 min and allow to cool before testing.
IHC staining of FFPE human renal oncocytoma tissue with STK15 antibody. HIER: boil tissue sections in pH8 EDTA for 20 min and allow to cool before testing.
IHC staining of FFPE human breast cancer tissue with STK15 antibody. HIER: boil tissue sections in pH8 EDTA for 20 min and allow to cool before testing.
IHC staining of FFPE human cervical cancer tissue with STK15 antibody. HIER: boil tissue sections in pH8 EDTA for 20 min and allow to cool before testing.
Western blot testing of human 1) HeLa, 2) Caco-2 and 3) SiHa cell lysate with STK15 antibody. Predicted molecular weight ~45 kDa.
Flow cytometry testing of human HepG2 cells with STK15 antibody at 1ug/million cells (blocked with goat sera); Red=cells alone, Green=isotype control, Blue= STK15 antibody.
Availability 1-3 business days
Species Reactivity Human
Format Antigen affinity purified
Clonality Polyclonal (rabbit origin)
Isotype Rabbit IgG
Purity Antigen affinity purified
Buffer Lyophilized from 1X PBS with 2% Trehalose
UniProt O14965
Localization Cytoplasmic, nuclear
Applications Western Blot : 0.5-1ug/ml
Immunohistochemistry (FFPE) : 2-5ug/ml
Flow Cytometry : 1-3ug/million cells
Direct ELISA : 0.1-0.5ug/ml
Limitations This STK15 antibody is available for research use only.
Review this product on BioCompare and get a $20 Amazon gift card

Related Products

Description

AURKA (Aurora kinase A), also called ARK1, AurA, AIK , AURORA2, BTAK, PPP1R47, STK7, STK15, STK6, is a mitotic centrosomal protein kinase. The main role of STK15 in tumor development is in controlling chromosome segregation during mitosis. It is a member of a family of mitotic serine/threonine kinases. Cell cycle and Northern blot analyses showed that peak expression of STK15 occurs during the G2/M phase and then decreases. By fluorescence in situ hybridization, AURKA gene is represented by 2 signals in chromosome bands 20q13.2-q13.3 and 1q41-q42. The AURKA gene is overexpressed in many human cancers. Ectopic overexpression of Aurora kinase A / Serine/threonine-protein kinase 15 in mammalian cells induces centrosome amplification, chromosome instability, and oncogenic transformation, a phenotype characteristic of loss-of-function mutations of p53. Depletion of Ajuba prevented activation of STK15 at centrosomes in late G2 phase and inhibited mitotic entry. Activation of STK15 was independently sufficient to induce rapid ciliary resorption, and STK15 acted in this process through phosphorylation of HDAC6, leading to HDAC6-dependent tubulin deacetylation and destabilization of the ciliary axoneme. Small molecule inhibitors of STK15 and HDAC6 reduced regulated disassembly of cilia.

Application Notes

Optimal dilution of the STK15 antibody should be determined by the researcher.

Immunogen

Recombinant human protein (amino acids K23-S403) was used as the immunogen for the STK15 antibody.

Storage

After reconstitution, the STK15 antibody can be stored for up to one month at 4oC. For long-term, aliquot and store at -20oC. Avoid repeated freezing and thawing.

Cross
Bulk Quote Request Form
Name*:
Organization*:
Email*:
Phone Number*:
Catalog No.*:
Comments and Specifics(amount, formulation, etc.)*:
Validation code: Captchapackage Image


Can't read the image? click here to refresh.
    *required field

Your bulk quote request has been submitted successfully!

Please contact us if you have any questions.