• Tel: 858.663.9055
  • SeparatorEmail: info@nsjbio.com
  • Tel: 858.663.9055
  • Email: info@nsjbio.com
Home >> Antibodies >> STIL Antibody / SIL / SCL-interrupting locus protein

STIL Antibody / SIL / SCL-interrupting locus protein (RQ6441)

  Catalog No Formulation Size Price (USD)  
Image RQ6441 0.5mg/ml if reconstituted with 0.2ml sterile DI water 100 ug 439
Bulk quote request
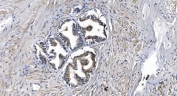
IHC staining of FFPE human gallbladder adenocarcinoma tissue with STIL antibody. HIER: boil tissue sections in pH8 EDTA for 20 min and allow to cool before testing.
IHC staining of FFPE human prostate cancer tissue with STIL antibody. HIER: boil tissue sections in pH8 EDTA for 20 min and allow to cool before testing.
Western blot testing of 1) rat testis, 2) rat C6, 3) rat PC-12, 4) mouse NIH 3T3 and 5) human HeLa cell lysate with STIL antibody. Predicted molecular weight ~143 kDa.
Flow cytometry testing of human SiHa cells with STIL antibody at 1ug/million cells (blocked with goat sera); Red=cells alone, Green=isotype control, Blue= STIL antibody.
Availability 1-3 business days
Species Reactivity Human, Mouse, Rat
Format Purified
Clonality Polyclonal (rabbit origin)
Isotype Rabbit IgG
Purity Antigen affinity purified
Buffer Lyophilized from 1X PBS with 2% Trehalose
UniProt Q15468
Localization Cytoplasmic
Applications Western Blot : 0.5-1ug/ml
Immunohistochemistry (FFPE) : 2-5ug/ml
Flow Cytometry : 1-3ug/million cells
Direct ELISA : 0.1-0.5ug/ml
Limitations This STIL antibody is available for research use only.
Review this product on BioCompare and get a $20 Amazon gift card

Related Products

  • Applications : WB, IHC-P, ELISA (peptide)
    Reactivity : Human

Description

SCL-interrupting locus protein is a protein that in humans is encoded by the STIL gene. This gene encodes a cytoplasmic protein implicated in regulation of the mitotic spindle checkpoint, a regulatory pathway that monitors chromosome segregation during cell division to ensure the proper distribution of chromosomes to daughter cells. The protein is phosphorylated in mitosis and in response to activation of the spindle checkpoint, and disappears when cells transition to G1 phase. It interacts with a mitotic regulator, and its expression is required to efficiently activate the spindle checkpoint. It is proposed to regulate Cdc2 kinase activity during spindle checkpoint arrest. Chromosomal deletions that fuse this gene and the adjacent locus commonly occur in T cell leukemias, and are thought to arise through illegitimate V-(D)-J recombination events. Multiple transcript variants encoding different isoforms have been found for this gene.

Application Notes

Optimal dilution of the STIL antibody should be determined by the researcher.

Immunogen

Recombinant human protein (amino acids N13-F1287) was used as the immunogen for the STIL antibody.

Storage

After reconstitution, the STIL antibody can be stored for up to one month at 4oC. For long-term, aliquot and store at -20oC. Avoid repeated freezing and thawing.

Cross
Bulk Quote Request Form
Name*:
Organization*:
Email*:
Phone Number*:
Catalog No.*:
Comments and Specifics(amount, formulation, etc.)*:
Validation code: Captchapackage Image


Can't read the image? click here to refresh.
    *required field

Your bulk quote request has been submitted successfully!

Please contact us if you have any questions.