• Tel: 858.663.9055
  • SeparatorEmail: info@nsjbio.com
  • Tel: 858.663.9055
  • Email: info@nsjbio.com
Home >> Antibodies >> Stathmin 2 Antibody / STMN2 / SCG10

Stathmin 2 Antibody / STMN2 / SCG10 (RQ6268)

  Catalog No Formulation Size Price (USD)  
Image RQ6268 0.5mg/ml if reconstituted with 0.2ml sterile DI water 100 ug 439
Bulk quote request
Immunofluorescent staining of FFPE human U-2 OS cells with Stathmin 2 antibody (green) and DAPI nuclear stain (blue). HIER: steam section in pH6 citrate buffer for 20 min.
IHC staining of FFPE rat brain with Stathmin 2 antibody. HIER: boil tissue sections in pH8 EDTA for 20 min and allow to cool before testing.
IHC staining of FFPE mouse brain with Stathmin 2 antibody. HIER: boil tissue sections in pH8 EDTA for 20 min and allow to cool before testing.
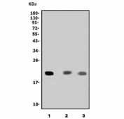
Western blot testing of 1) human SH-SY5Y, 2) rat brain and 3) mouse brain lysate with Stathmin 2 antibody. Predicted molecular weight ~21 kDa.
Flow cytometry testing of human U-2 OS cells with Stathmin 2 antibody at 1ug/million cells (blocked with goat sera); Red=cells alone, Green=isotype control, Blue= Stathmin 2 antibody.
Flow cytometry testing of mouse Neuro-2a cells with Stathmin 2 antibody at 1ug/million cells (blocked with goat sera); Red=cells alone, Green=isotype control, Blue= Stathmin 2 antibody.
Availability 1-3 business days
Species Reactivity Human, Mouse, Rat
Format Antigen affinity purified
Clonality Polyclonal (rabbit origin)
Isotype Rabbit IgG
Purity Affinity purified
Buffer Lyophilized from 1X PBS with 2% Trehalose
UniProt Q93045
Applications Western Blot : 1-2ug/ml
Immunohistochemistry (FFPE) : 2-5ug/ml
Immunofluorescence : 5ug/ml
Flow Cytometry : 1-3ug/million cells
Direct ELISA : 0.1-0.5ug/ml
Limitations This Stathmin 2 antibody is available for research use only.
Review this product on BioCompare and get a $20 Amazon gift card

Related Products

  • Applications : WB, ELISA (peptide)
    Reactivity : Mouse
    Pred. Reactivity : Cow, Dog, Human, Rat
  • Applications : WB, IHC, IF, FACS
    Reactivity : Human, Mouse

Description

Stathmin-2 is a protein that in humans is encoded by the STMN2 gene. This gene encodes a member of the stathmin family of phosphoproteins. Stathmin proteins function in microtubule dynamics and signal transduction. The encoded protein plays a regulatory role in neuronal growth and is also thought to be involved in osteogenesis. Reductions in the expression of this gene have been associated with Down's syndrome and Alzheimer's disease. Alternatively spliced transcript variants have been observed for this gene. A pseudogene of this gene is located on the long arm of chromosome 6.

Application Notes

Optimal dilution of the Stathmin 2 antibody should be determined by the researcher.

Immunogen

A human recombinant partial protein (amino acids S23-N170) was used as the immunogen for the Stathmin 2 antibody.

Storage

After reconstitution, the Stathmin 2 antibody can be stored for up to one month at 4oC. For long-term, aliquot and store at -20oC. Avoid repeated freezing and thawing.

Cross
Bulk Quote Request Form
Name*:
Organization*:
Email*:
Phone Number*:
Catalog No.*:
Comments and Specifics(amount, formulation, etc.)*:
Validation code: Captchapackage Image


Can't read the image? click here to refresh.
    *required field

Your bulk quote request has been submitted successfully!

Please contact us if you have any questions.