• Tel: 858.663.9055
  • SeparatorEmail: info@nsjbio.com
  • Tel: 858.663.9055
  • Email: info@nsjbio.com
Home >> Antibodies >> STAT6 Antibody / Signal transducer and activator of transcription 6

STAT6 Antibody / Signal transducer and activator of transcription 6 (RQ7207)

  Catalog No Formulation Size Price (USD)  
Image RQ7207 0.5mg/ml if reconstituted with 0.2ml sterile DI water 100 ug 439
Bulk quote request
Flow cytometry testing of fixed and permeabilized human U937 cells with STAT6 antibody at 1ug/million cells (blocked with goat sera); Red=cells alone, Green=isotype control, Blue= STAT6 antibody.
Western blot testing of human 1) HeLa, 2) 293T, 3) HepG2, 4) Jurkat and 5) Raji cell lysate with STAT6 antibody. Predicted molecular weight ~94 kDa.
Immunofluorescent staining of FFPE human HeLa cells with STAT6 antibody (red) and DAPI nuclear stain (blue). HIER: steam section in pH6 citrate buffer for 20 min.
IHC staining of FFPE human placental tissue with STAT6 antibody, HRP-labeled secondary and DAB substrate. HIER: boil tissue sections in pH8 EDTA for 20 min and allow to cool before testing.
IHC staining of FFPE human thyroid cancer tissue with STAT6 antibody, HRP-labeled secondary and DAB substrate. HIER: boil tissue sections in pH8 EDTA for 20 min and allow to cool before testing.
IHC staining of FFPE human laryngeal squamous cell carcinoma tissue with STAT6 antibody, HRP-labeled secondary and DAB substrate. HIER: boil tissue sections in pH8 EDTA for 20 min and allow to cool before testing.
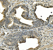
IHC staining of FFPE human prostate cancer tissue with STAT6 antibody, HRP-labeled secondary and DAB substrate. HIER: boil tissue sections in pH8 EDTA for 20 min and allow to cool before testing.
Availability 1-3 business days
Species Reactivity Human
Format Antigen affinity purified
Clonality Polyclonal (rabbit origin)
Isotype Rabbit IgG
Purity Antigen affinity purified
Buffer Lyophilized from 1X PBS with 2% Trehalose
UniProt P42226
Applications Western Blot : 0.5-1ug/ml
Flow Cytometry : 1-3ug/million cells
Immunohistochemistry (FFPE) : 2-5ug/ml
Immunofluorescence : 5ug/ml
Direct ELISA : 0.1-0.5ug/ml
Limitations This STAT6 antibody is available for research use only.
Review this product on BioCompare and get a $20 Amazon gift card

Related Products

  • Applications : IHC-P
    Reactivity : Human
    Recrabbitmono
  • Applications : IHC-P
    Reactivity : Human
    Recrabbitmono
  • Applications : IHC-P, FACS
    Reactivity : Human
    Microvalidated
  • Applications : WB, IHC-P
    Reactivity : Human, Mouse, Rat
  • Applications : WB
    Reactivity : Human, Rat
  • Applications : WB, IHC-P, IF, FACS, Direct ELISA
    Reactivity : Human

Description

STAT6, or Signal Transducer and Activator of Transcription 6, is a key transcription factor involved in cytokine signaling, particularly downstream of interleukin 4 and interleukin 13 receptors. It plays a central role in promoting Th2 cell differentiation, immunoglobulin class switching to IgE, and regulation of genes associated with allergic inflammation and immune responses. Activation of STAT6 occurs through phosphorylation by receptor-associated Janus kinases, after which it dimerizes and translocates to the nucleus to drive gene transcription.

STAT6 is widely expressed in lymphoid tissues and various immune cells. Its function is critical in diseases involving type 2 immunity, including asthma, atopic dermatitis, and certain parasitic infections. Emerging evidence also implicates STAT6 in cancer biology, where it may influence tumor microenvironment modulation and immune evasion.

Alternative splicing of the STAT6 gene gives rise to at least 2 isoforms, which may have distinct regulatory roles in signaling and gene expression. These isoforms underscore the importance of using a high-quality STAT6 antibody capable of detecting different forms of the protein in diverse biological contexts.

The STAT6 antibody is an essential reagent for researchers studying cytokine signaling, immune differentiation, and allergic disease mechanisms. A validated STAT6 antibody can be applied in various experimental techniques, including western blot, immunohistochemistry, flow cytometry, and immunofluorescence. Choosing the right STAT6 antibody enables accurate analysis of protein expression, post-translational modifications, and cellular localization in both physiological and pathological conditions.

NSJ Bioreagents offers a range of STAT6 antibody products that deliver high specificity and performance, supporting dependable results in immunological and translational research.

Application Notes

Optimal dilution of the STAT6 antibody should be determined by the researcher.

Immunogen

Recombinant human protein (amino acids E13-Q810) was used as the immunogen for the STAT6 antibody.

Storage

After reconstitution, the STAT6 antibody can be stored for up to one month at 4oC. For long-term, aliquot and store at -20oC. Avoid repeated freezing and thawing.

Cross
Bulk Quote Request Form
Name*:
Organization*:
Email*:
Phone Number*:
Catalog No.*:
Comments and Specifics(amount, formulation, etc.)*:
Validation code: Captchapackage Image


Can't read the image? click here to refresh.
    *required field

Your bulk quote request has been submitted successfully!

Please contact us if you have any questions.