• Tel: 858.663.9055
  • SeparatorEmail: info@nsjbio.com
  • Tel: 858.663.9055
  • Email: info@nsjbio.com
Home >> Antibodies >> STAT5b Antibody

STAT5b Antibody [clone STAT5B/2611] (V8106)

  Catalog No Formulation Size Price (USD)  
Image V8106-100UG 0.2 mg/ml in 1X PBS with 0.1 mg/ml BSA (US sourced) and 0.05% sodium azide 100 ug 539
Image
V8106-20UG 0.2 mg/ml in 1X PBS with 0.1 mg/ml BSA (US sourced) and 0.05% sodium azide 20 ug 249
Image
V8106SAF-100UG 1 mg/ml in 1X PBS; BSA free, sodium azide free 100 ug 539
Microvalidated
Bulk quote request
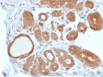
IHC staining of FFPE human breast carcinoma with STAT5b antibody. HIER: boil tissue sections in pH 9 10mM Tris with 1mM EDTA for 20 min and allow to cool before testing.
Analysis of HuProt(TM) microarray containing more than 19,000 full-length human proteins using STAT5b antibody (clone STAT5B/2611). These results demonstrate the foremost specificity of the STAT5B/2611 mAb. Z- and S- score: The Z-score represents the strength of a signal that an antibody (in combination with a fluorescently-tagged anti-IgG secondary Ab) produces when binding to a particular protein on the HuProt(TM) array. Z-scores are described in units of standard deviations (SD's) above the mean value of all signals generated on that array. If the targets on the HuProt(TM) are arranged in descending order of the Z-score, the S-score is the difference (also in units of SD's) between the Z-scores. The S-score therefore represents the relative target specificity of an Ab to its intended target.
Availability 1-3 business days
Species Reactivity Human
Format Purified
Clonality Monoclonal (mouse origin)
Isotype Mouse IgG1, kappa
Clone Name STAT5B/2611
Purity Protein G affinity chromatography
UniProt P51692
Localization Nuclear, cytoplasmic
Applications Immunohistochemistry (FFPE) : 1-2ug/ml
Limitations This STAT5b antibody is available for research use only.
Review this product on BioCompare and get a $20 Amazon gift card

Related Products

  • Applications : ELISA
    Reactivity : Human
    Microvalidated
  • Applications : WB, IHC-P
    Reactivity : Human, Mouse, Rat
  • Applications : WB, IF, FACS
    Reactivity : Human, Rat

Description

Signal transducer and activator of transcription 5A (Stat5a) and Stat5b, which share 96% homology, undergo receptor tyrosine kinase or G protein-coupled receptor-dependent phosphorylation in response to cytokines or growth factors, and then form homo- or heterodimers that translocate to the nucleus, where they initiate transcription. Activation of Stat5a via IL-2, IL-3, IL-7/ GM-CSF, erythropoietin, thrombopoietin and growth hormones influences proliferation, differentiation and apoptosis in lymphohematopoietic cells. Phosphorylation of Stat5a at Ser127/Ser128 and Ser779 are contigent on ErbB-4-mediated activation of Stat5a. Activation of Stat5b via IL-2, IL-4, CSF-1 and growth hormones influences TCR signaling, apoptosis, adult mammary gland development and sexual dimorphism of liver gene expression. Stat5b is the major liver-expressed Stat5 form that has been shown to fuse with the retinoic acid receptor a gene in acute promyelocytic leukemias (APLL). Stat5a/b null mice have severely impaired lymphoid development and differentiation.

Application Notes

Optimal dilution of the STAT5b antibody should be determined by the researcher.

Immunogen

A recombinant full-length human protein was used as the immunogen for this STAT5b antibody.

Storage

Store the STAT5b antibody at 2-8oC (with azide) or aliquot and store at -20oC or colder (without azide).

Cross
Bulk Quote Request Form
Name*:
Organization*:
Email*:
Phone Number*:
Catalog No.*:
Comments and Specifics(amount, formulation, etc.)*:
Validation code: Captchapackage Image


Can't read the image? click here to refresh.
    *required field

Your bulk quote request has been submitted successfully!

Please contact us if you have any questions.