• Tel: 858.663.9055
  • SeparatorEmail: info@nsjbio.com
  • Tel: 858.663.9055
  • Email: info@nsjbio.com
Home >> Antibodies >> STAT5b Antibody

STAT5b Antibody (R30939)

  Catalog No Formulation Size Price (USD)  
Image R30939 0.5mg/ml if reconstituted with 0.2ml sterile DI water 100 ug 439
Bulk quote request
Western blot testing of STAT5b antibody and Lane 1: rat intestine; 2: rat kidney; and human samples 3: HeLa; 4: A549; 5: MM231; 6: COLO320 cell lysate. Predicted molecular weight ~90 kDa.
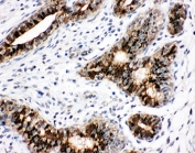
IHC-P: STAT5b antibody testing of human breast cancer tissue
Availability 1-3 business days
Species Reactivity Human, Mouse, Rat
Format Antigen affinity purified
Clonality Polyclonal (rabbit origin)
Isotype Rabbit IgG
Purity Antigen affinity
Buffer Lyophilized from 1X PBS with 2.5% BSA and 0.025% sodium azide/thimerosal
UniProt P51692
Applications Western Blot : 0.5-1ug/ml
IHC (FFPE) : 0.5-1ug/ml
Limitations This STAT5b antibody is available for research use only.
Review this product on BioCompare and get a $20 Amazon gift card

Related Products

Description

Signal transducer and activator of transcription 5B is a protein that in humans is encoded by the STAT5B gene. STAT5b orthologs have been identified in most placentals for which complete genome data are available. By FISH, Lin et al.(1996) mapped the gene to 17q11.2. The protein encoded by this gene is a member of the STAT family of transcription factors. In response to cytokines and growth factors, STAT family members are phosphorylated by the receptor associated kinases, and then form homo- or heterodimers that translocate to the cell nucleus where they act as transcription activators. This protein mediates the signal transduction triggered by various cell ligands, such as IL2, IL4, CSF1, and different growth hormones. It has been shown to be involved in diverse biological processes, such as TCR signaling, apoptosis, adult mammary gland development, and sexual dimorphism of liver gene expression. This gene was found to fuse to retinoic acid receptor-alpha (RARA) gene in a small subset of acute promyelocytic leukemias (APML). The dysregulation of the signaling pathways mediated by this protein may be the cause of the APML.

Application Notes

The stated application concentrations are suggested starting amounts. Titration of the STAT5b antibody may be required due to differences in protocols and secondary/substrate sensitivity.

Immunogen

An amino acid sequence from the C-terminus of human STAT5b (RRVEELLGRPMDSQWIPHAQS) was used as the immunogen for this STAT5b antibody (100% homologous in human, mouse and rat).

Storage

After reconstitution, the STAT5b antibody can be stored for up to one month at 4oC. For long-term, aliquot and store at -20oC. Avoid repeated freezing and thawing.

Cross
Bulk Quote Request Form
Name*:
Organization*:
Email*:
Phone Number*:
Catalog No.*:
Comments and Specifics(amount, formulation, etc.)*:
Validation code: Captchapackage Image


Can't read the image? click here to refresh.
    *required field

Your bulk quote request has been submitted successfully!

Please contact us if you have any questions.