• Tel: 858.663.9055
  • SeparatorEmail: info@nsjbio.com
  • Tel: 858.663.9055
  • Email: info@nsjbio.com
Home >> Antibodies >> StAR Antibody / Steroidogenic acute regulatory protein

StAR Antibody / Steroidogenic acute regulatory protein [clone STAR/2154] (V3897)

  Catalog No Formulation Size Price (USD)  
Image V3897-100UG 0.2 mg/ml in 1X PBS with 0.1 mg/ml BSA (US sourced) and 0.05% sodium azide 100 ug 539
Image
V3897-20UG 0.2 mg/ml in 1X PBS with 0.1 mg/ml BSA (US sourced) and 0.05% sodium azide 20 ug 249
Image
V3897SAF-100UG 1 mg/ml in 1X PBS; BSA free, sodium azide free 100 ug 539
Microvalidated
Bulk quote request
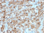
IHC staining of FFPE human adrenal gland with StAR antibody (clone STAR/2154). Required HIER: boil tissue sections in pH 9 10mM Tris with 1mM EDTA for 10-20 min followed by cooling at RT for 20 min.
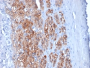
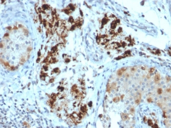
IHC staining of FFPE human testicular carcinoma with StAR antibody (clone STAR/2154). Required HIER: boil tissue sections in pH 9 10mM Tris with 1mM EDTA for 10-20 min followed by cooling at RT for 20 min.
IHC staining of FFPE human testicular carcinoma with StAR antibody (clone STAR/2154). Required HIER: boil tissue sections in pH 9 10mM Tris with 1mM EDTA for 10-20 min followed by cooling at RT for 20 min.
Analysis of HuProt(TM) microarray containing more than 19,000 full-length human proteins using StAR antibody (clone STAR/2154). These results demonstrate the foremost specificity of the STAR/2154 mAb.
Z- and S- score: The Z-score represents the strength of a signal that an antibody (in combination with a fluorescently-tagged anti-IgG secondary Ab) produces when binding to a particular protein on the HuProt(TM) array. Z-scores are described in units of standard deviations (SD's) above the mean value of all signals generated on that array. If the targets on the HuProt(TM) are arranged in descending order of the Z-score, the S-score is the difference (also in units of SD's) between the Z-scores. The S-score therefore represents the relative target specificity of an Ab to its intended target.
SDS-PAGE analysis of purified, BSA-free StAR antibody (clone STAR/2154) as confirmation of integrity and purity.
Species Reactivity Human
Format Purified
Clonality Monoclonal (mouse origin)
Isotype Mouse IgG1, kappa
Clone Name STAR/2154
Purity Protein G affinity chromatography
UniProt P49675
Localization Cytoplasmic (mitochondrial)
Applications Immunohistochemistry (FFPE) : 1-2ug/ml for 30 min at RT
Limitations This StAR antibody is available for research use only.
Review this product on BioCompare and get a $20 Amazon gift card

Related Products

Description

Steroidogenic Acute Regulatory Protein (STAR) controls the rate-limiting step of steroidegenesis by translocating cholesterol from the outer mitochondrial membrane to the inner membrane where it is later cleaved to pregnenolone. It is primarily present in steroid-producing cells, including Leydig cells in the testis, theca cells and luteal cells in the ovary and adrenal cells in the adrenal cortex. Due to low levels of pregnenolone, seminomas and Leydig cell tumors display no specific STAR staining. Therefore, STAR antibody may assist in differentiating sex cord stromal tumors (SCST), seminomas and embryonal carcinomas.

Application Notes

The concentration stated for each application is a general starting point. Variations in protocols, secondaries and substrates may require the StAR antibody to be titered up or down for optimal performance.

Immunogen

A portion of amino acids 39-108 from the human protein was used as the immunogen for this StAR antibody.

Storage

Store the StAR antibody at 2-8oC (with azide) or aliquot and store at -20oC or colder (without azide).

Cross
Bulk Quote Request Form
Name*:
Organization*:
Email*:
Phone Number*:
Catalog No.*:
Comments and Specifics(amount, formulation, etc.)*:
Validation code: Captchapackage Image


Can't read the image? click here to refresh.
    *required field

Your bulk quote request has been submitted successfully!

Please contact us if you have any questions.