• Tel: 858.663.9055
  • SeparatorEmail: info@nsjbio.com
  • Tel: 858.663.9055
  • Email: info@nsjbio.com
Home >> Antibodies >> StAR Antibody / Steroidogenic acute regulatory protein

StAR Antibody / Steroidogenic acute regulatory protein [clone STAR/2077] (V8103)

  Catalog No Formulation Size Price (USD)  
Image V8103-100UG 0.2 mg/ml in 1X PBS with 0.1 mg/ml BSA (US sourced) and 0.05% sodium azide 100 ug 539
Image
V8103-20UG 0.2 mg/ml in 1X PBS with 0.1 mg/ml BSA (US sourced) and 0.05% sodium azide 20 ug 249
Image
V8103SAF-100UG 1 mg/ml in 1X PBS; BSA free, sodium azide free 100 ug 539
Bulk quote request
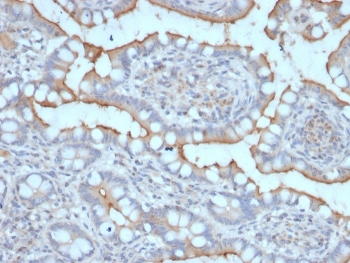
IHC staining of FFPE human stomach with StAR antibody. HIER: boil tissue sections in pH 9 10mM Tris with 1mM EDTA for 20 min and allow to cool before testing.
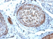
IHC staining of FFPE human testis with StAR antibody. HIER: boil tissue sections in pH 9 10mM Tris with 1mM EDTA for 20 min and allow to cool before testing.
SDS-PAGE analysis of purified, BSA-free StAR antibody as confirmation of integrity and purity.
Availability 1-3 business days
Species Reactivity Human
Format Purified
Clonality Monoclonal (mouse origin)
Isotype Mouse IgG2b, kappa
Clone Name STAR/2077
Purity Protein G affinity chromatography
UniProt P49675
Localization Cytoplasmic (mitochondria)
Applications Immunohistochemistry (FFPE) : 1-2ug/ml
Limitations This StAR antibody is available for research use only.
Review this product on BioCompare and get a $20 Amazon gift card

Related Products

Description

Steroidogenic Acute Regulatory Protein (STAR) controls the rate-limiting step of steroidegenesis by translocating cholesterol from the outer mitochondrial membrane to the inner membrane where it is later cleaved to pregnenolone.It is primarily present in steroid-producing cells, including Leydig cells in the testis, theca cells and luteal cells in the ovary and adrenal cells in the adrenal cortex. Due to low levels of pregnenolone, seminomas and Leydig cell tumors display no specific STAR staining. Therefore, STAR antibody may assist in differentiating sex cord stromal tumors (SCST), seminomas and embryonal carcinomas.

Application Notes

Optimal dilution of the StAR antibody should be determined by the researcher.

Immunogen

A recombinant human partial protein (amino acids 39-108) was used as the immunogen for this StAR antibody.

Storage

Store the StAR antibody at 2-8oC (with azide) or aliquot and store at -20oC or colder (without azide).

Cross
Bulk Quote Request Form
Name*:
Organization*:
Email*:
Phone Number*:
Catalog No.*:
Comments and Specifics(amount, formulation, etc.)*:
Validation code: Captchapackage Image


Can't read the image? click here to refresh.
    *required field

Your bulk quote request has been submitted successfully!

Please contact us if you have any questions.